아하
  • 토픽

  • 스파링

  • 잉크

  • 미션


팔팔한개131

팔팔한개131

뇌에 흰부분은 병변인가요? 엠알아이 결과 궁금해요

성별

여성

나이대

56

안면마비증상

인지저하증상(아주약하게)

두통


어머니가 엠알아이찍고오셧는데

카다실을 의심한다는데

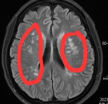
저부분이 하야면 안되는곳인가오,,?

대학병원가기전 너무걱정돼서 오려봅니다




  • 1번 째 사진

3개의 답변이 있어요!

  • 최원제 의사

    최원제 의사

    울진군의료원

    안녕하세요. 영상의학과 전문의 최원제 의사입니다.

    해당부위가 고신호로 보이는 것은 카다실 뿐만 아니라 멜라스나 기타 다른 질환때도 관찰 가능하며 병적인 상태가 아닌 백질의 뇌소혈관질환에서도 보일수 있습니다.

    카다실 진단은 유전자 검사가 가장 정확하기때문에 검사를 받아보시는걸 추천드립니다.

  • 안녕하세요. 채홍석 의사입니다.

    MRI에서 뇌실질은 어둡게 보여야 합니다

    주변보다 밝은 경우 해당부위에 허혈 혹은 경색이 있다고 판단을 합니다

    참고하시면 되겠습니다

    추천 좋아요 부탁드립니다.

  • 탈퇴한 사용자

    탈퇴한 사용자

    안녕하세요. 유민혁 의사입니다.


    첨부해주신 영상은 머리 MRI 중 FLAIR라는 영상입니다.


    흰 부분은 뇌의 백질에 병변이 발생한 것으로, 만성적인 허혈증에 의해 발생한 병변일 가능성이 높고 CADASIL과 연관되었을 가능성이 있습니다.


    병원에 방문하시어 영상검사결과에 대한 정확한 설명을 들어보심을 추천드립니다.