충치가 잇으면 잇몸이아프나요?….
30대초반이구요
술담배안합니다
충치가 잇어서 잇몸이 아플수가 잇나요???…
치아는 두들겨도 안아프고 반응 업고
시린거에도 반응 없습니다
근데 잇몸이 욱신 아프네요…
밥먹고 그쪽으로 씹고 나면 더아프고
밥먹고 나서 시간이 지날수록 괜찬아져요
하지만 지속적으로 욱신합니다…
진통제먹을정도는 아니구여
스켈링도 햇구… 충치도 없다네요…
왜아픈거 일가요!??..
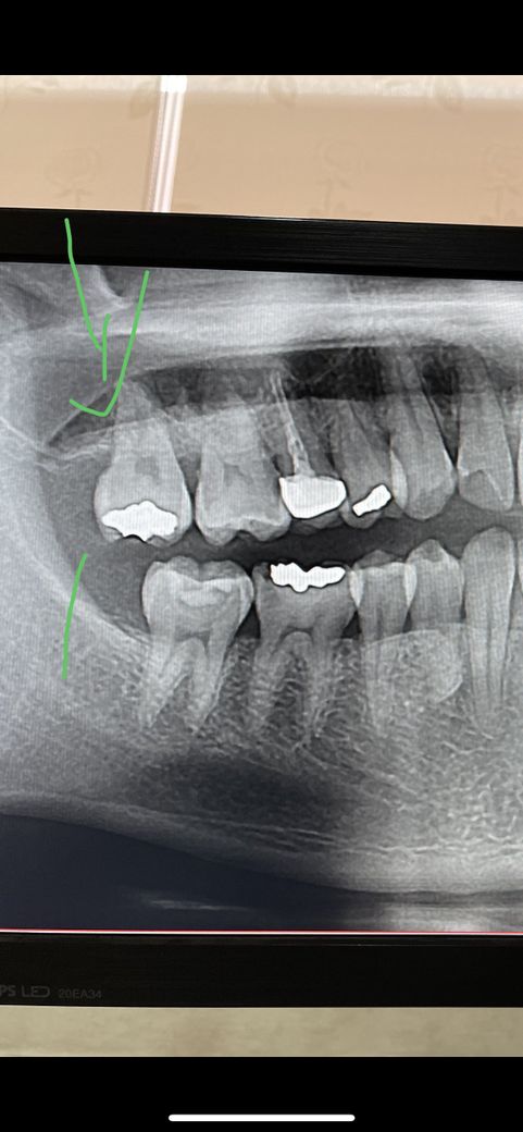
인레이 안에 2차 충치가 생겻을 확률이 높나요???
오른쪽 상악 맨끝치아 17번치아에요
답변부탁드립다…
안녕하세요. 안상우 치과의사/경제·금융전문가입니다.
이상이 없음에도불구하고 통증이 있다면 치아에 힘이 많이 가해지고 있는 지확인을 해보는것이 좋습니다.
평소에 이 악물기 습관이나 이갈이가 있어서 치아에 비정상적인힘이 많이 가해진다면 치아가 아프거나 할수 있습니다.
힘때문에 생기는 통증은 치아에 가해지는 힘이 줄어들면 괜찮아 지는경우가 많습니다
참고 - 치아 통증
안녕하세요. 김철진 치과의사/경제·금융전문가입니다.
예전에 햇던 치아가 신경치료를 하지 않는 치아이며 안쪽으로 2차 충치가 생겻을 가능성이 잇습니다. 또 골드인레이를 하셧다면 치아에 금이가서 증상이 나타날수도 잇습니다
안녕하세요. 이정현 치과의사입니다.
사진으로봐서는 특별히 이상이 있어보이진 않습니다.
정확한것은 임상적으로 직접 보면서 검사를 해봐야 알 수 있을것같습니다.
인레이가 오래되어 틈이 벌어지거나 2차충치가 생겼거나, 눈에 잘 보이지 않는 크랙이 있을 가능성도 있습니다.
여러 치과에서 가셨는데도 계속 아프시다면 대학병원의 구강내과나 보존과에 내원해보시기 바랍니다. 감사합니다.
안녕하세요. 장인아 치과위생사입니다.
차아에 금이가는 이유는 이악무는습관, 이갈이,강하게 씹는 습관 등이 있습니다.
치아에 금이 가면 씹을때 통증, 차가운 음식 섭취시 시큰거림 찌릿함, 무증상이 있을수 있습니다.
치아에 금이 가 있으면 보철물로 씌워 줘야 합니다.
치근으로 연장된 신경 조직에 염증을 일으키면 신경치료 후 씌워 줘야 하고
악화 되면 발치를 해야 할수 도 있습니다.
도움이 되기를 바랍니다. 건강하세요.

