아핫뉴스실시간 인기검색어
아핫뉴스 화산 이미지
화산 아이콘 11
비트코인 급락
아하

의료상담

치과

그랑카인
그랑카인

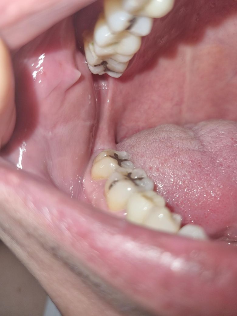
상악 양 어금니 뼈이식 임플란트후 볼쪽 점막이 이상해요

상악 임플란트 완료후 이상하게 양쪽으로 뾰루지 같은 부위가 올라오는데 이게 멀까요 말랑 말랑 하는데.. 뾰족하게 올라 와 있어요 혹시 구강암 인가요.

  • 1번 째 사진
  • 2번 째 사진
3개의 답변이 있어요!
  • 안녕하세요. 김지훈 치과의사입니다.

    구강암으로 보이진 않고, 해당 부위 볼살이 씹히면서 증식되어 있는 양상으로 판단됩니다.

    1명 평가
  • 안녕하세요. 김철진 치과의사입니다.

    사진에 보이는건 볼 점막이 치아에 씹히면서 생긴 자국입니다. 큰 문제가 잇는건 아니니 너무 걱정하지마세요.

    1명 평가
  • 안녕하세요. 최석민 치과의사입니다.

    임플란트 후 교합 적응의 문제로 볼살을 물어서 그런 것 같습니다 자극이 되어 부은 것이니 크게 걱정 마세요 적응하면 됩니다

    1명 평가