의료상담
인레이치료 후 임시재료를 채웠는데 떨어진지 확인법이 뭔가요?
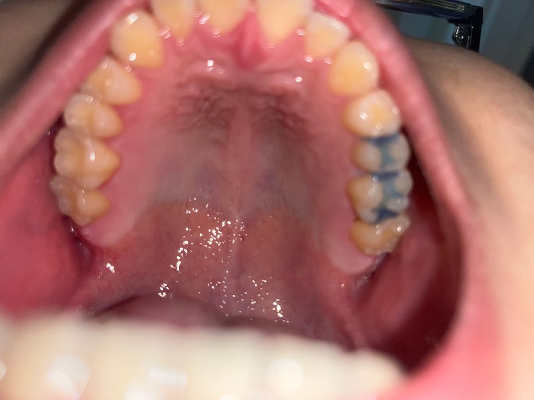
인레이로 임시재료를 했는데 2곳을 해서 한곳은 있는데 다른쪽 끝부분이 있는지 모르겠어요 있는지 알고싶어요 잘 있는건가요? 아니면 살짝 떨어진건가요
55글자 더 채워주세요.
6개의 답변이 있어요!
안녕하세요. 김철진 치과의사입니다.
인레이 치료를 하고 임시재료를 넣어 놓은곳은 파란색으로 보이는 부분입니다. 떨어지거나 그렇진 않은것같습니다.
안녕하세요. 김지훈 치과의사입니다.
인레이 치료 임시재료의 형태를 봤을 때에는 특정 부위가 떨어져 나간 것으로 보이진 않습니다.
안녕하세요. 안상우 치과의사입니다.
인레이를 하고 부착을 하는 임시 수복물은 보통 파란색을 뜨고 있습니다. 따라서 탈락이 되었을 경우 파란색이 없어지기 때문에 육안으로 확인하기 쉽습니다.
안녕하세요. 정경호 치과의사입니다.
사진 상으로는 파란색 임시재료가 치아 2개에 모두 잘 적용되어 있는 것으로 보입니다. 걱정하지 않으셔도 될 듯 합니다.
안녕하세요. 송우식 치과의사입니다.
손가락이나 혀로 해당 부위를 부드럽게 만져보길 권하며, 만약 부드럽지 않고 거칠거나, 움푹 패인 부분이 느껴진다면 재료가 떨어졌을 수 있습니다.
음식을 씹을 때 해당 부위가 민감하거나 다른 쪽과 비교해 불편한 느낌이 들면 임시재료가 손상되었을 가능성이 있습니다. 만약 의심이 된다면 가급적 빠른시일내에 치과 진료를 받길 권합니다.
만족스러운 답변되셨으면 합니다.
<평가> 감사합니다.
안녕하세요. 최석민 치과의사입니다.
사진상 아주 확실하진 않지만 잘 붙어있는 것 같습니다 보통 임시재료 떨어져있으면 아주 시립니다

