아핫뉴스실시간 인기검색어
아핫뉴스 화산 이미지
아하

의료상담

비뇨의학과

레알시원한봉골레
레알시원한봉골레

여자 생식기 가려움 생식기 상처인가요?

성별
여성
나이대
20

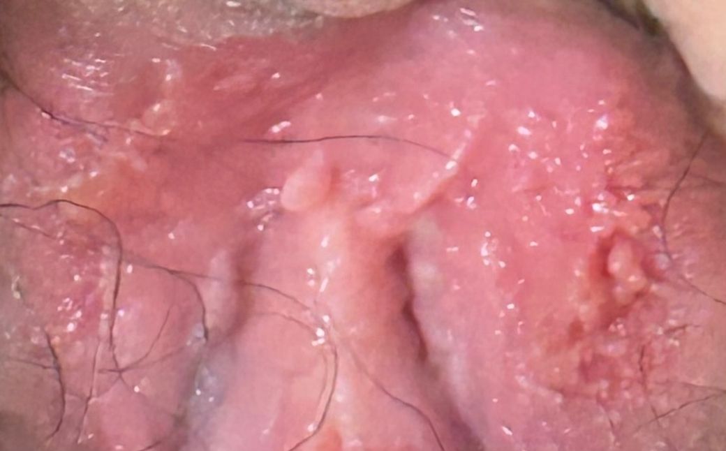
하루 정도? 진짜 딱 맞는 걸 넘어서 꽉끼는 팬티를 입었었는데 그때 계속 껴서 짜증도 낫엇거든요… 근데 그날 이후로 생식기가 가려워서 확인 해보니까 소음순 벌리면 보이는 여린 피부가 사포로 간 것처럼 살이 뜯겻다고 할까요? 이거 팬티에 쓸려서 생긴 상처이려나요? 그렇다면 연고 발라도 될까요? 아니면 성병으로 보이나요? 너무 걱정되네요 ㅠㅠ
(아프지는 않고 만져야만 아파요 그리구 아픈 것보단 간지러운 게 더 큽니당… ㅠㅠ 가만히 잇으면 간지럽지는 않고 다리를 꼬거나 마찰할 일이 있으면 가렵더라구요)

  • 1번 째 사진
55글자 더 채워주세요.
2개의 답변이 있어요!
  • 안녕하세요. 이영민 의사입니다.

    현재 사진상으로는 상처의 깊이가 심해 보이지는 않고 정황상 마찰로 인하여 소음순의 피부가 쓸려서 생긴 상처일 가능성이 있어 보입니다. 일부 스테로이드 계열 항생제 연고의 경우 질이나 소음순 쪽으로 도포 가능한 연고들이 있는데 약국에서 구매가 가능하며 해당 약제를 도포해 보시는 것이 도움이 될 수 있겠습니다.

    아울러 성병의 경우 최근 1달 이내에 불특정 상대와 성접촉이 있었다고 하였을 때 의심하여야 하는데, 해당 상황이 없었다고 한다면 성병의 가능성은 거의 없다고 봐도 무방하겠습니다.

    우선은 너무 걱정하지 마시고 위와 같이 항생제 연고를 도포하면서 관리해 보시기 바라며, 증상이 점진적으로 심해진다면 방광염으로 인하여 나타나는 증상일 수도 있기 때문에 2~3일 후에도 증상이 여전하다면 안전하게 산부인과에 방문하셔서 의사의 진찰을 받아보시기 바랍니다.

    질문자님의 쾌유를 진심으로 기원드립니다.

    감사합니다.

  • 안녕하세요. 김수비 의사입니다.

    사진으로는 정확한 진단 불가능하며 병원 방문하셔서 직접 육안으로 진료 보셔야 합니다

    팬티가 꽉 끼면서 생긴 마찰로 인해 소음순이나 여린 피부가 긁히거나 자극을 받아 상처가 생길 수 있습니다. 이런 경우에는 마찰성 상처가 생길 수 있으며, 성병이 아니라 단순히 피부 자극 때문일 가능성이 커 보여요

    연고를 사용할 때는 항생제 연고나 연고성분이 자극적이지 않은 제품을 사용하고, 상처 부위를 청결하게 유지하는 것이 중요합니다. 자극을 피하고, 느슨한 속옷을 입으면 증상이 완화될 수 있을 듯 해요

    만약 증상이 계속되거나 심해진다면 피부과를 방문하여 정확한 진단을 받는 것이 좋습니다.

PC용 아하 앱 설치 권유 팝업 이미지장도연이 추천하는 아하! 앱으로 편리하게 사용해 보세요.
starbucks
앱 설치하고 미션 완료하면 커피 기프티콘을 드려요!