의료상담
55글자 더 채워주세요.
1개의 답변이 있어요!
안녕하세요. 안상우 치과의사/경제·금융전문가입니다.
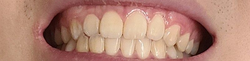
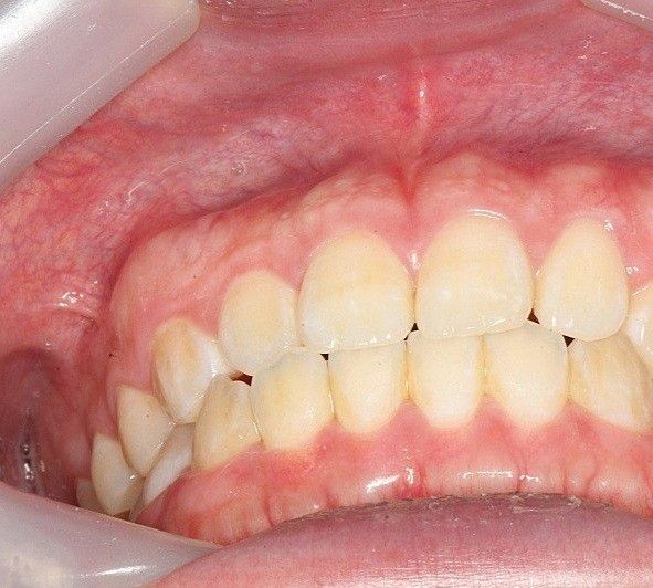
식사를 하거나 일상생활에서 교합을 하는데 큰 문제가 없다면 정상교합으로 판단합니다.
피개량이 적긴하지만 위에 치아가 아래 치아를 덮고 있다면 반대교합이나 절단교합이 아닌 정상교합의 범주에 있다고 판단을 하게 됩니다.


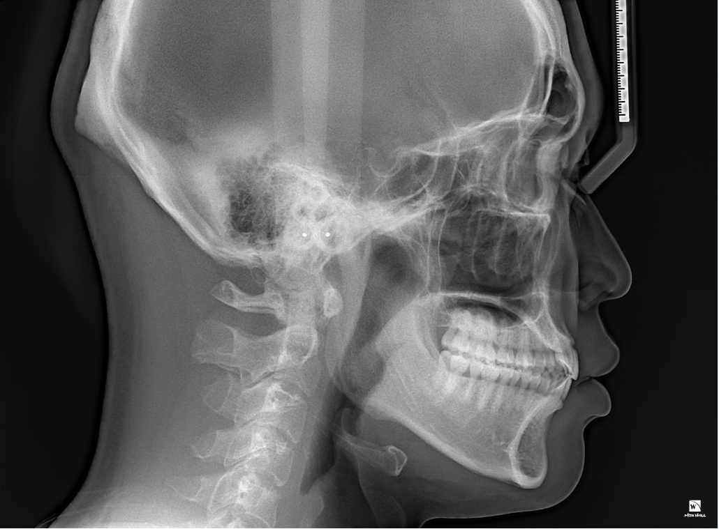
안녕하세요. 안상우 치과의사/경제·금융전문가입니다.
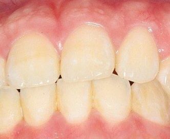
식사를 하거나 일상생활에서 교합을 하는데 큰 문제가 없다면 정상교합으로 판단합니다.
피개량이 적긴하지만 위에 치아가 아래 치아를 덮고 있다면 반대교합이나 절단교합이 아닌 정상교합의 범주에 있다고 판단을 하게 됩니다.