의료상담
윗니가 아랫니 얼마나 포개야하나요?
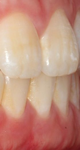
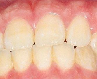
윗니가 아랫니 포개기는 하는데 겨우포개는 느낌이듭니다 윗니가 앞으로 나온게 적은건지 아랫니가 많이 나온걸까요?
이정도만 포개도 상관없는축에 속하나요?
......
55글자 더 채워주세요.
5개의 답변이 있어요!
안녕하세요. 송우식 치과의사입니다.
이정도면 정상범주에 속합니다. 윗니가 아랫니 보다 통성 2-3mm 정도 앞으로 나옵니다.
안녕하세요. 정진석 치과의사입니다.
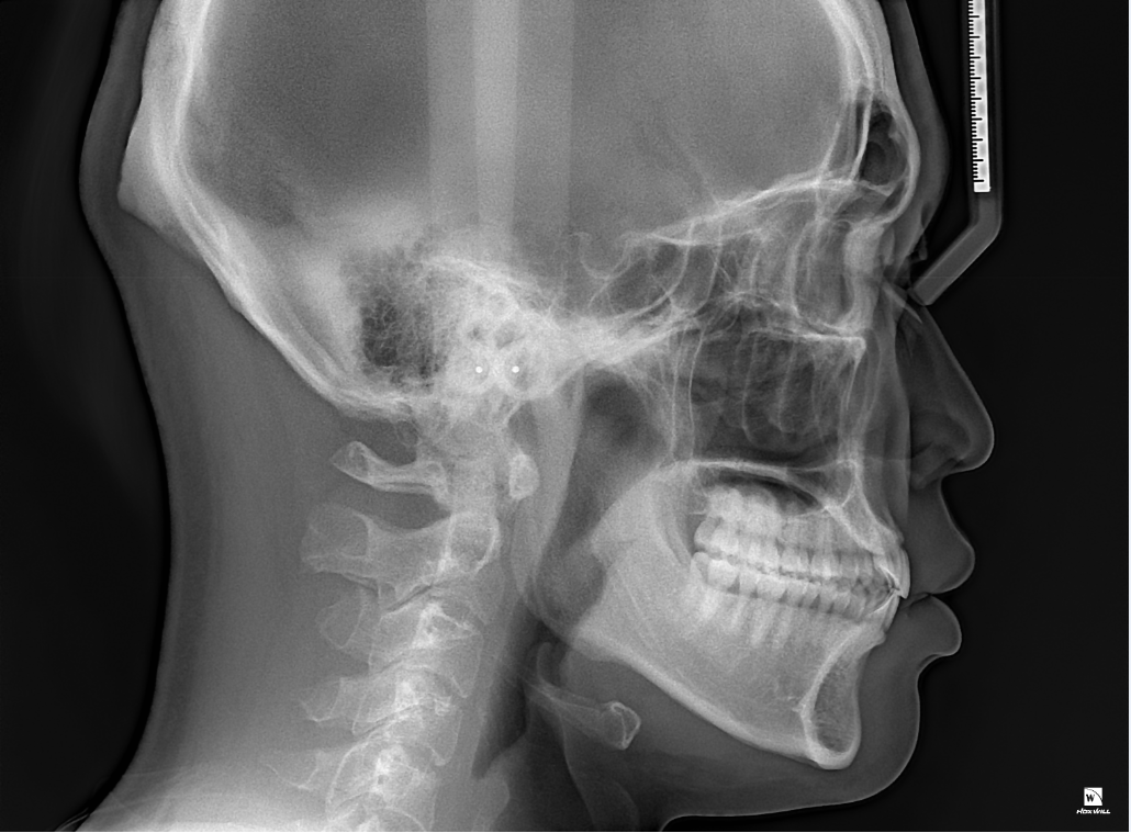
사진상으로 보았을 때는 치축의 각도가 정상 범주에서 벗어나는 것이 맞습니다. 다만 치열이 고르고 특별히 불편감이 없다면 치료의 대상은 아닙니다. 오히려 현재 골격에서 아래 위 치아의 치열 각도를 바꾸게 되면 심미적으로 더 이상해보일 수 있으므로 정확한 교정적 평가 이후에 교정을 하는 것이 필요하며 교정 이후에 오히려 어색해보일 수도 있어 보입니다.
아무쪼록 저의 답변이 문제 해결에 작게 나마 도움이 될 수 있기를 기원드립니다. 항상 건강하고, 행복하세요^^
정진석 치과의사 드림
안녕하세요. 이정현 치과의사입니다.
윗니가 아랫니를 수직적으로 2-3mm덮는게 정상입니다.
사진상으로 큰 문제는 없어보입니다.
답변이 도움이 되길 바랍니다. 감사합니다.
안녕하세요. 박종열 치과의사입니다.
이상적인 피개교합은 2mm입니다.
하지만 사람에 따라 조금씩 다를 수는 있기때문에
자세한 검사를 받아보시는 것을 추천드립니다.
안녕하세요. 김철진 치과의사/경제·금융전문가입니다.
사진상으로는 크게 이상은 없어 보입니다. 윗니가 아랫니를 덮는정도면 몇mm이며, 너무 깊게 물리거나 끝이 물리는게 더 안좋은 상태입니다. 크게 걱정은 안하셔도될것같습니다.

