의료상담
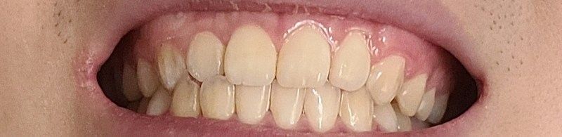
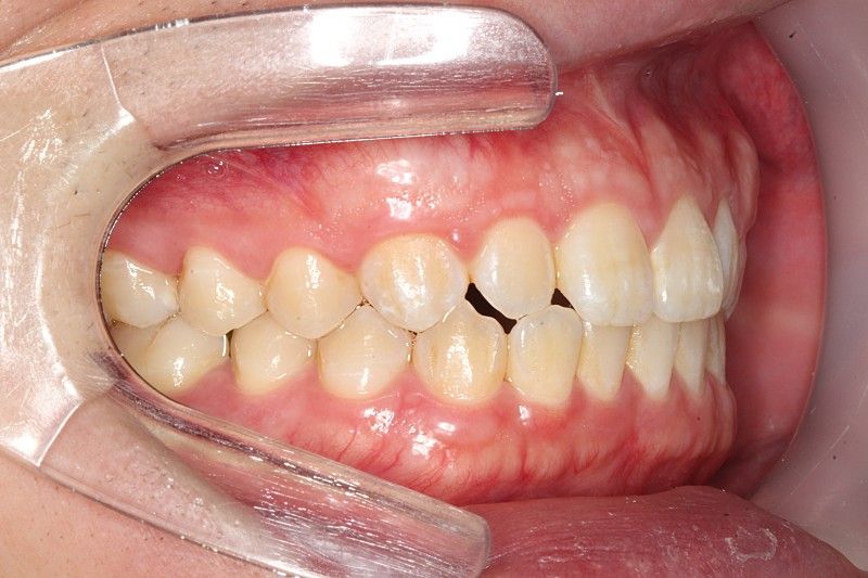
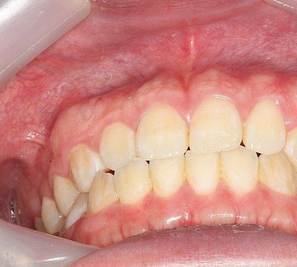
치아 앞니교합 괜찮은 건가요?
앞니 아랫니 포개긴하는데 덜 포개는 느낌이 들어요
겨우 포개는 느낌적인 느낌?
원래좀더 윗치아들이 앞으로 조금더 나와야하지 않나 그렇게 생각합니다
윗치아들이 덜 나온건지 아랫치아들이 많이 나온건지 모르겠어요
55글자 더 채워주세요.
3개의 답변이 있어요!
안녕하세요. 송우식 치과의사입니다.
윗니가 앞으로 나오는 정도는 사람마다 다릅니다. 지금 사진상으로 보아 윗니가 앞으로 나온 양이 조금 적어 보이나
정상 범위입니다. 다만 오른쪽 작은 앞니(측절치)는 아랫니가 앞으로 나온 반대교합 입니다.
안녕하세요. 정진석 치과의사입니다.
죄송합니다. 현재 사진 자료가 잘 나오지 않습니다.
사람마다 포개지는 정도는 다를 수 있습니다. 정상적으로 2mm 범주 내라면 큰 문제가 없으며 정상적인 교합이 가능하다면 치료의 대상은 아닙니다. 하지만 정확한 것은 사진 자료를 보고 판단해야 합니다.
아무쪼록 저의 답변이 문제 해결에 작게 나마 도움이 될 수 있기를 기원드립니다. 항상 건강하고, 행복하세요^^
정진석 치과의사 드림
안녕하세요. 김철진 치과의사/경제·금융전문가입니다.
앞니 교합이 좋진 않으신거 같습니다. 왼쪽치아들은 그래도 잘 물리는데 오른쪽 치아들의 교합이 좋진 않네요.

