의료상담
55글자 더 채워주세요.
3개의 답변이 있어요!
안녕하세요. 채홍석 의사입니다.
초음파소견은 검사자의 의견이 가장 중요합니다
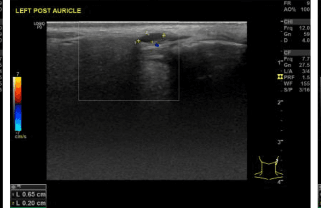
임파선 비대는 오래 갈 수도 있고 크기를 따진다면 그렇게 큰 편은 아닙니다
추천 좋아요 부탁드립니다.
안녕하세요. 이영민 의사입니다.
임파선의 경우 보통 0.5cm 전후의 직경을 가지고 있으며, 0.65cm이라면 경도의 붓기가 있는 것으로 생각됩니다. 다만, 일반적으로 1개월 이내에는 호전되는 경우가 많기 때문에 2개월이상 호전되지 않는다면 근처 이비인후과에서 재진료를 보시는 것이 좋을 것으로 보입니다.
답변이 도움이 되셨다면 좋아요와 추천 부탁드립니다.
감사합니다.
안녕하세요. 신성현 의사입니다.
귀 밑에 만져지는 딱딱한 혹이 임파선 비대로 진단받은 경우, 해당 임파선은 보통 감염, 염증, 혹은 다른 원인에 의한 면역 반응의 일부로 비대해진 것일 수 있습니다. 0.65cm 크기의 임파선은 많은 경우에 정상 범위 내로 간주되지만, 임파선의 크기가 오랜 기간 동안 변하지 않고 유지된다면, 이는 일반적으로 진정되지 않는 면역 활동을 나타낼 수 있습니다. 대부분의 경우 해로운 상태는 아닙니다. 체중 감소, 발열, 야간 발한 등의 일반적인 감염 증상이나 림프계 이상을 나타내는 다른 증상이 동반되는 경우, 더 심도 있는 검사가 필요할 수 있습니다. 정확한 평가를 위해서는 시간이 지남에 따라 임파선의 변화를 지속적으로 추적하는 것이 중요합니다.

