아핫뉴스실시간 인기검색어
아핫뉴스 화산 이미지
화산 아이콘 11
이재명 대통령 상하이 도착
많이 본
아하

의료상담

신경과·신경외과

plz0kcal
plz0kcal

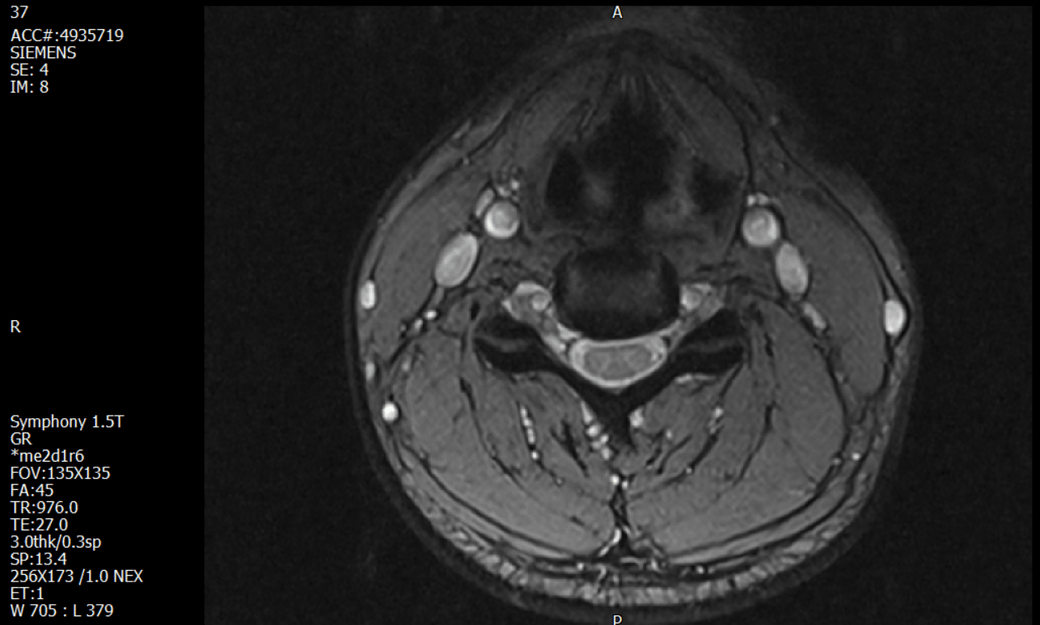
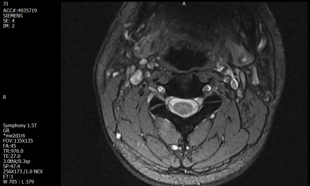
경추 요추 디스크 MRI판독 부탁드립니다.

- 3개월전 좌측 상지 저림(힘빠짐) 발생. 이틀뒤 에 좌측 하지 저림(힘빠짐) 발생.

(힘이 축처지는 느낌이라서 힘빠짐이라고 하지만, 실제 근력 문제, 감각이상, 활동 문제 없음)

-11월, 증상발생 직후 잠실소재 척추전문병원 MRI 요추경추 촬영 후 신경외과 박사 진료, 허리는 매우 건강, 경추는 퇴행성 진행되고 있지만 디스크라고 보기 어려움. 신경막만 살짝 건드리는 정도고 이 정도로 힘빠짐이나 저림이 오지 않고 원인은 다른 곳에 있을 가능성.

-12월, 분당서울대병원 재활의학과 진료, MRI 영상보고 딱히 다른 말은 없었음. 근전도 검사해보자 해서 신경전도, 근전도 검사 진행, 검사결과 이상없었고, 신경쪽 문제는 아예 배제해도 될것이라고 함. 정신쪽에 기인한 문제일 가능성 제시.

-올해 1월, 국립암센터 재활의학과 진료, 병명을 찾기가 쉽지 않을 것

-올해 1월, 분당서울대병원 신경과 진료, MRI영상보더니 디스크가 있고 저림과 힘빠짐이 이에 기인했을 가능성이 충분히 있다고함. (경추만 말한것인지 요추도 포함인지 모르겠으나 디스크 시술 방안을 제시함) , 팔다리가 우연이 동시에 저림이 올수 있는지에 대해서 물었더니 이틀 상간으로 발생했기 때문에 동시라고 보기 어렵다고함...

저는 원인이 궁금하니까 가능성들을 하나씩 소거해 가는 중인데, 갑자기 마지막 신경과진료에서 디스크 가능성을 제시하니까 원점으로 되돌아가는 것 같은 느낌입니다. 디스크였다면 진작에 관련 치료나 운동을 했을텐데..

신경과 교수님을 못믿는 것은 아니지만 더블체크를 해야하기 때문에 아래 사진 보시고 제 질문에 답변좀 부탁드립니다.

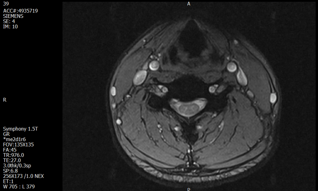
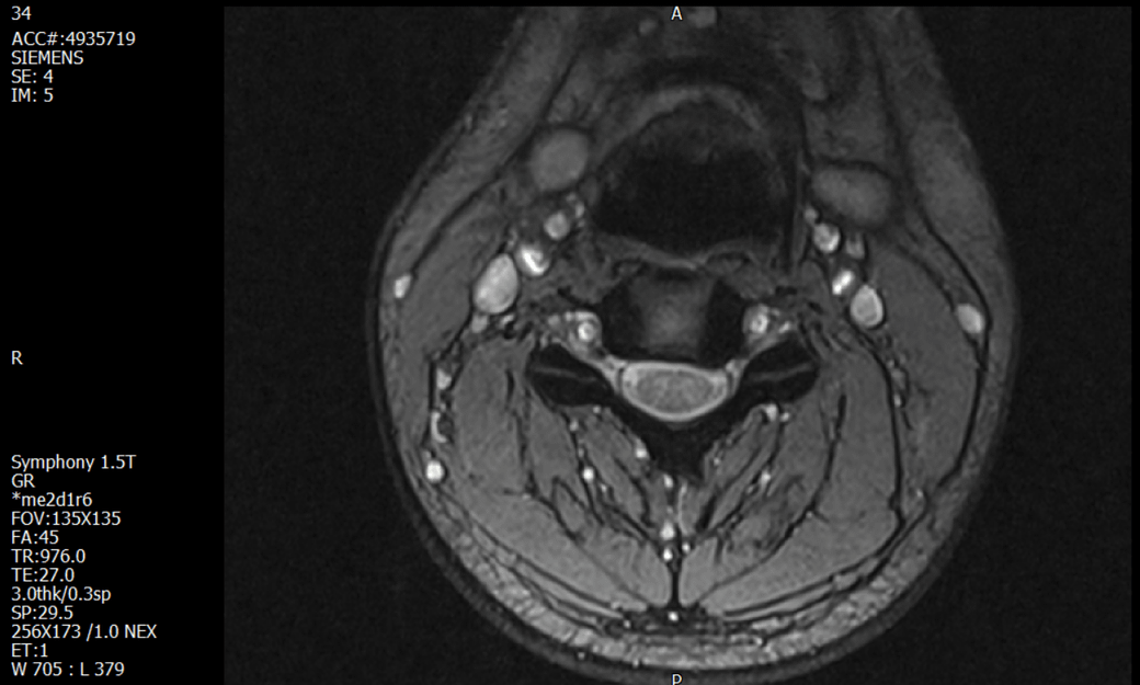
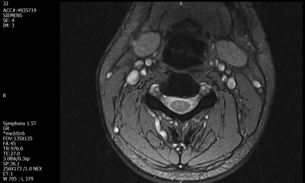
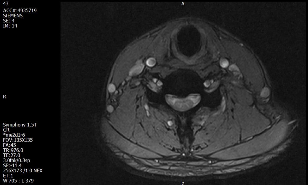
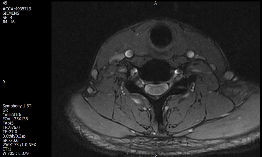
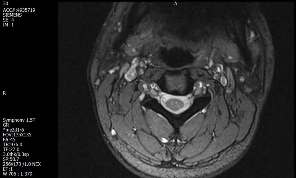
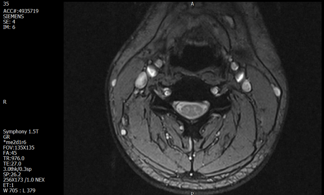
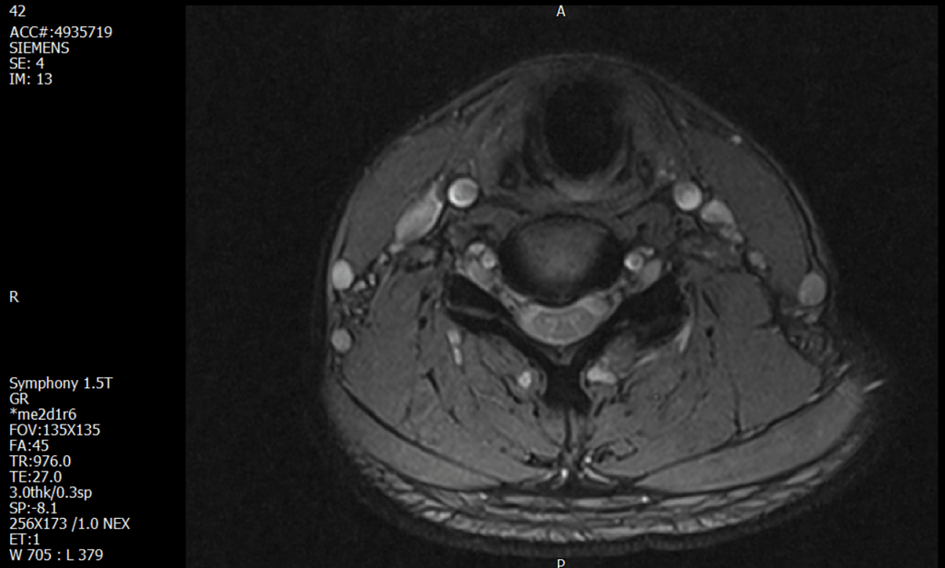
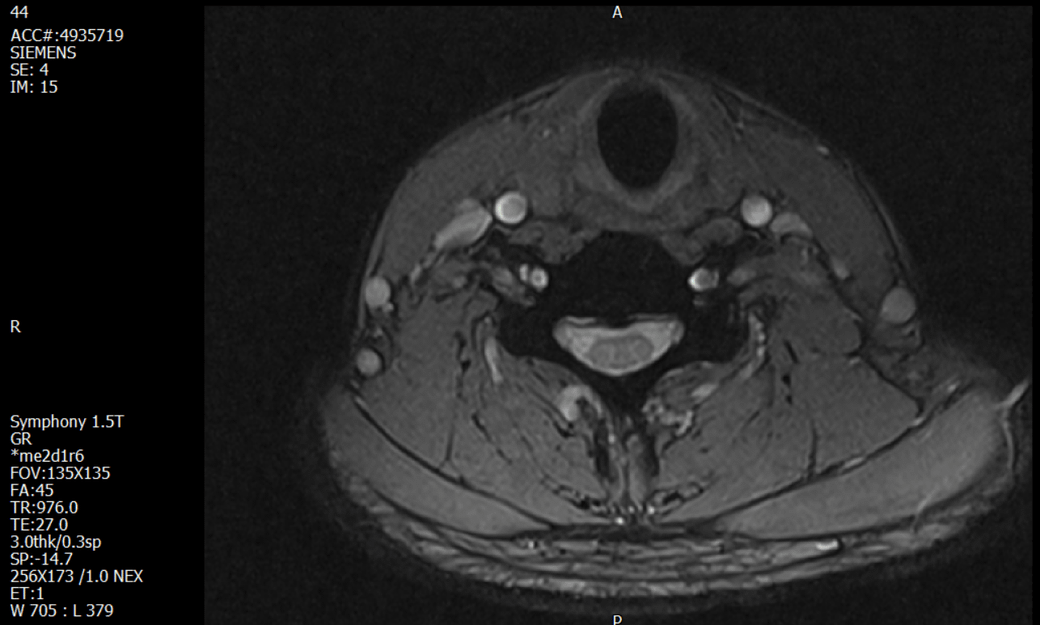
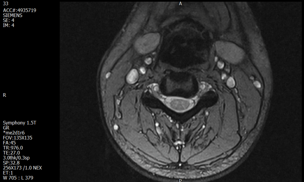
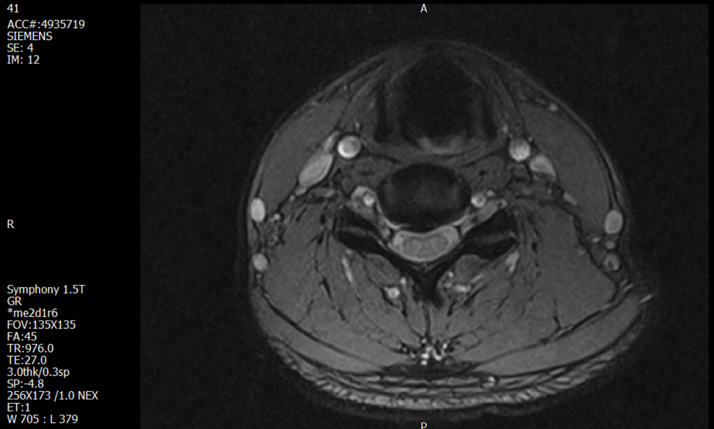
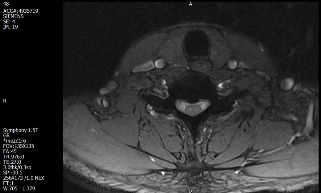
1. MRI 상 , 경추와 요추에 디스크가 있나요? 있다면 좌측 팔과 다리에 저림 및 힘빠짐을 줄 정도인가요?

2. 혹시 영상의 퀄리티가 떨어져서 의사끼리 의견이 다른것일까요? MRI는 1.5T로 촬영된 것인데, 3.0T로 재촬영할 필요가 있을까요?

3. 디스크로 인한 증상이라면, 목과 허리의 디스크가 이틀 상간으로 문제가 생길수 있나요?

특히나 요추MRI는 문제가 없다고 들었던 터라 다리저림은 어떻게 설명할수있는것인지 모르겠네요.

저는 팔다리의 문제는 서로 연관되어 있다고 생각하고 여러 검사와 진료를 거쳐 신체화증상 같은 정신문제 또는 가능성은 낮지만 뇌문제 등을 염두에 두고 있는데, 그냥 팔은 목디스크고, 다리는 허리디스크 때문에 그럴 가능성이 있다! 라고 하니까 어떻게 해야할지 모르겠습니다..

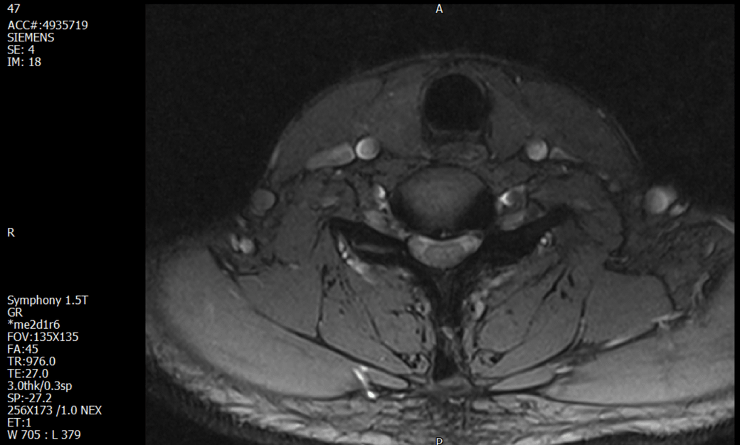
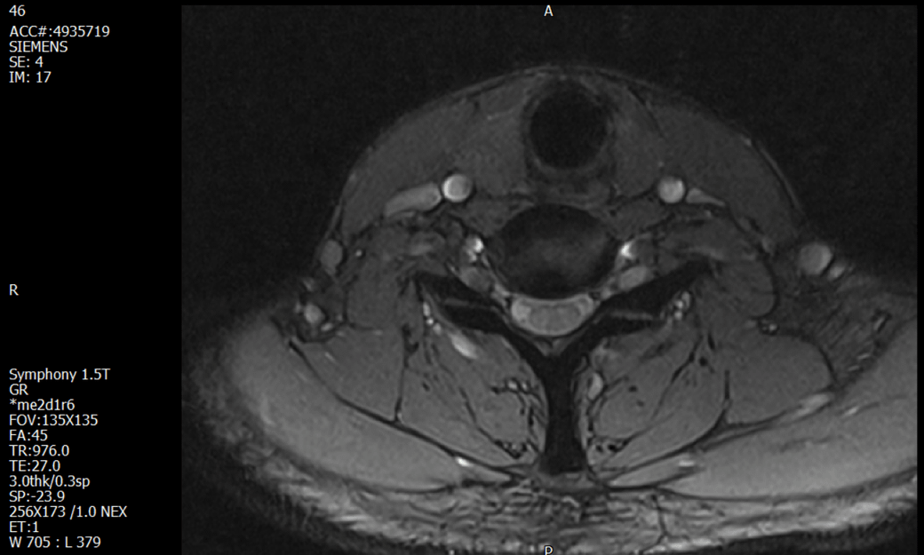
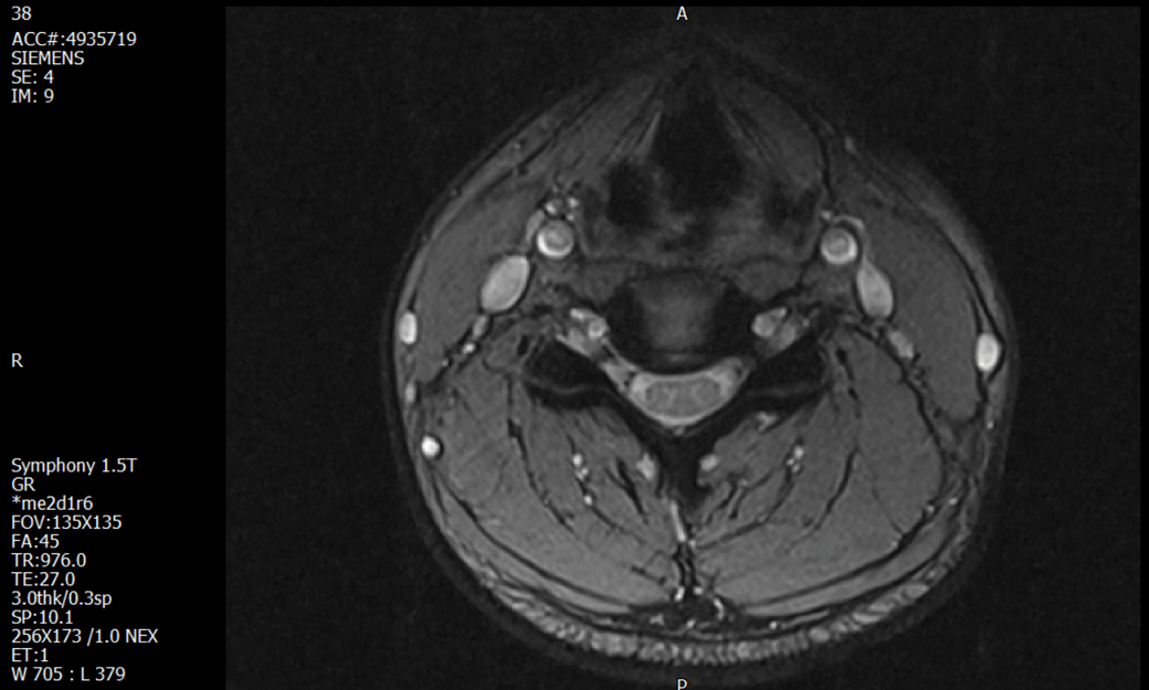
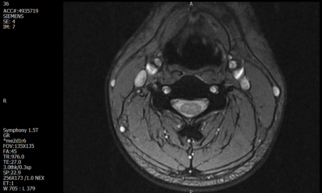
  • 1번 째 사진
  • 2번 째 사진
  • 3번 째 사진
  • 4번 째 사진
  • 5번 째 사진
  • 6번 째 사진
  • 7번 째 사진
  • 8번 째 사진
  • 9번 째 사진
  • 10번 째 사진
  • 11번 째 사진
  • 12번 째 사진
  • 13번 째 사진
  • 14번 째 사진
  • 15번 째 사진
  • 16번 째 사진
  • 17번 째 사진
  • 18번 째 사진
  • 19번 째 사진
  • 20번 째 사진
  • 21번 째 사진
  • 22번 째 사진
2개의 답변이 있어요!
  • 1. MRI 사진을 보았을 때 디스크를 의심해볼 수 있는 소견이 살짝살짝 보이긴 합니다만, 상하지의 저림 및 힘빠짐을 유발할 정도인지는 솔직히 회의적입니다.

    2. 영상의 퀄리티는 나쁘지 않아 보입니다. 굳이 재촬영을 하실 필요는 없어 보입니다.

    3. 개인적으로는 디스크로 인한 증상이 아닐 것으로 보나, 만약 디스크가 맞다면 우연하게 목과 허리 디스크 발병이 이틀 간격을 두고 나타났을 가능성을 생각해야 하는데, 현실적으로 그 가능성이 높지 않습니다.

    4. 말씀하신 것처럼 특히 요추부 MRI는 디스크를 찾기 어렵습니다.

  • 안녕하세요 아하(Aha) 의료, 코로나 카테고리에서 활동중인 전문의입니다.

    상기 MRI 소견으로는 심한 증상을 보일 정도는 아니며 디스크의 가능성은 적어보입니다.

    참조하시어 도움이 되기를 바랍니다.