아핫뉴스실시간 인기검색어
아핫뉴스 화산 이미지
화산 아이콘 11
비트코인 고래와 개인의 갈등
많이 본
아하

의료상담

신경과·신경외과

행복하게
행복하게

허리디스크 내시경 수술 후 재수술 결정을 도와주세요..

성별
여성
나이대
29

안녕하세요. 20대후반 단방향 내시경 수술 2달되었고 지속되는 심한 통증(마비는 없으나 일상생활이 어려울 정도의 통증)재수술을 고려하고 있어요!






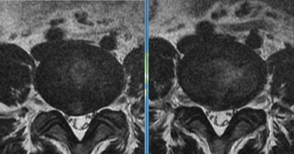
<왼쪽은 1차수술전, 오른쪽는 1차수술후>


복용중인 약: 프리가발린 150, 트라세타세미서방정2, 클란자씨알1, 신바로정4. 이걸 먹어도 통증이 남으나 일상 생활은 가능해짐, 복용하지 않으면 일상생활 불가능


일단 5곳 정도를 다녀본결과 제거가 덜 된 부분이 있고 재발한 부분도 있는 상태입니다. 이런 상태에서 어떤 수술을 해야할지 결정을 도와주세요.ㅠㅠ


1. 현미경수술(대부분의 병원)


-내시경2주만에 이만큼 흘러내릴정도면 환자 본인의 디스크가 약한편, 내시경을 해도 흘러내릴 가능성이 큼, 현미경 추천)


2. 내시경 재도전 후 안되면 현미경수술


-어린 나이에 현미경 수술은 너무 아깝다, 제거가 안 된 부분이 너무 명확히 보인다, 그런데 이미 다른 곳에서 한 번 했으니 이게 내시경으로 전부 제거될지는 장담못한다, 하지만 한 번 면죄부만 준다고 하면 시도해보겠다, 시도해보고 되면 좋은거고 수술직후 mri찍어보고 제거가 안되면 며칠의 텀을 두고 현미경으로 새로 하자, 내시경은 옆구리고 현미경은 등으로 하는거라 가능하다, 원한다면 바로 현미경해도 되긴한데 나이가 아깝다


저는 내시경을 한 번 더 도전해보고 싶습니다만.. 이미 한 번 했고, 두번째 내시경, 3번째 현미경하면 허리가 박살날까 싶기도 하고.. 내시경 도전해서 성공하면 또 좋은거니까 해볼까하다가도 제거됐다가 한 달안에 또 재발하면 어쩌나 싶고 .. 결정을 도와주세요..ㅠㅠ


  • 1번 째 사진
  • 2번 째 사진
  • 3번 째 사진
1개의 답변이 있어요!
  • 안녕하세요. 채홍석 의사입니다.

    첫번째 수술을 한 의사가 돌팔이가 아닌 이상 내시경으로 수술하기가 어려웠던 병변으로 생각이 됩니다

    다른 분이 내시경으로 한다고 해서 더 좋은 결과를 가지고 온다고 기대하기는 어려울 것 같습니다

    첫번째 방법이 더 좋을 것 같습니다

    추천 좋아요 부탁드립니다