아하
  • 토픽

  • 스파링

  • 잉크

  • 미션


의료상담

xucjdn

xucjdn

사랑니 발치 난이도 및 음주, 흡연

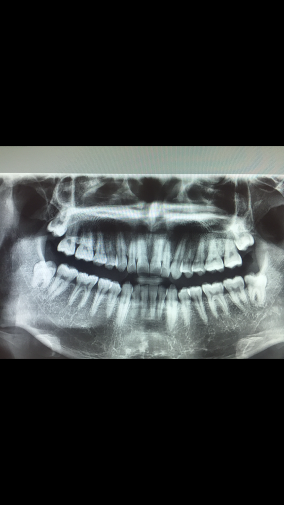
사랑니 사진상 하악 각각 난이도 각각 어떤가요 ??

그리고 사랑니 발치 후 15일 후 놀러가서 과음 및 흡연 할지도 모르는데 괜찮나요?






  • 1번 째 사진

5개의 답변이 있어요!

  • 김지훈 치과의사

    김지훈 치과의사

    메가

    안녕하세요. 김지훈 치과의사입니다.

    난이도는 두가지 모두 쉬워보이지는 않습니다. 2주 후에 음주나 흡연 모두 권하지 않습니다.

  • 안녕하세요. 송우식 치과의사입니다.

    현재 사진상으로 각도가 많이 기울어져 있지 않기에 크게 어려운 사랑니 발치는 아닙니다. 발치후 1-2주정도는 흡연및 음주는 피해야하며, 15일 경과시에는 크게 문제가 되지 않습니다.

    궁금증 해소에 도움이 되시길 바라며, 도움이 되신 경우 ‘추천’ 부탁드립니다. 감사합니다.

  • 안녕하세요. 안상우 치과의사입니다.

    상악의 사랑니는 쉽게 나올 수 있는 형태로 보입니다. 하지만 하악의 경우에는 완전히 맹출된 것이 아니고 하악 치조골 뒤에 부분이 걸려 있기 때문에 잇몸을 열거나 치조골을 다듬고 발치를 해야 할 수 있습니다.

    이런 경우에는 수술의 범위가 넓어질 수 있기 때문에 불편감을 클 수 있습니다.

    사랑니를 발치한 후에 사랑니를 발치한 부위는 2주가 지나고 나면 아물기 때문에 2주가 지났다면 흡연이나 음주를 해도 큰 문제는 없을 것으로 생각되나 자세한 확인을 위해서 치과에서 진료를 받아 보는 것이 좋습니다.

  • 안녕하세요. 김철진 치과의사입니다.

    사랑니 자체 난이도는 높지 않은거 같습니다. 발치하고 일주일정도 지나시면 괜찮으니 너무 걱정하지 않으셔도 될것같습니다.

  • 안녕하세요. 최석민 치과의사입니다.

    사진상 상악 사랑니 2개는 locking되는 부분이 없고 더 맹출이 가능합니다. 좀 더 내려왔을 때 빼줘도 되고 관리를 잘해서 충치가 안생긴다면 굳이 뽑지 않아도 될 정도의 맹출 각도입니다.

    아래 사랑니의 경우 둘다 부분매복이어서 경우에 따라 발치 중 부분적으로 뼈를 삭제하고 할 수도 있습니다.