아하
  • 토픽

  • 스파링

  • 잉크

  • 미션


의료상담

순박한사슴벌레165

순박한사슴벌레165

하악 사랑니 발치 난이도가 어떤가요?

아직 증상은 없지만,하악 사랑니를 빼야할 것 같아서 병원 예약했는데요 너무 무섭고, 걱정돼서 질문드려요!
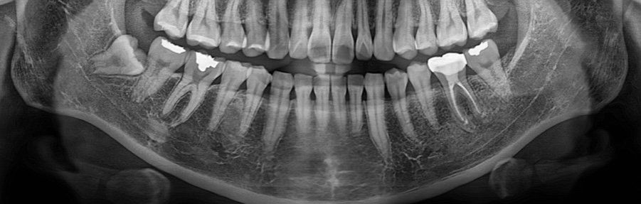
엑스레이는 두달 전 사진입니다

1. 하악 사랑니 발치 난이도가 종합적으로 어떤가요?

2.옆 어금니랑 사랑니가 겹쳐있어 보이는데..사랑니가 어금니를 흡수한 건 까진 아니겠죠?ㅠㅠㅠㅠ

3. 발치시, 뼈 삭제를 많이 해야하는 매복도인가요?



병원예약일이 꽤 남았는데 걱정돼서 공부가 손에 잡히질 않아요.. 치과 원장님들께 답변 부탁드립니다!
감사합니다

  • 1번 째 사진

4개의 답변이 있어요!

  • 이정현 치과의사

    이정현 치과의사

    안녕하세요. 이정현 치과의사입니다.

    48번 발치계획중인것으로 보입니다. 뿌리과 신경관이 겹쳐있는것으로 보입니다. 이 부분은 씨티촬영을 통해서 확인해보는게 좋을 것입니다.

    뿌리가 보여있는 형태라서 발치가 아주 어려운 편은 아닐 것으로 보입니다. 하지만 치아를 분리하고 뒤쪽 골을 일부 삭제해야합니다.

    앞의 치아를 흡수하고 있는것으로 보이진 않습니다.

    정확한것은 검사를 해봐야 알 수 있습니다. 감사합니다.

  • 안녕하세요. 정진석 치과의사입니다.

    1. 단순 매복과는 다르며 치아를 부분적으로 절단하여 뽑아야할 가능성이 있습니다. 또한 뿌리 부분이 신경과 맞닿아 있을 가능성도 있으므로 dental CT 등으로 확인해볼 필요가 있습니다.

    2. 일부 흡수에 영향을 주고 있는 상황입니다. 따라서 빠른 발치가 필요해보입니다.

    2. 뼈 삭제를 해야할 가능성이 높아 보입니다.

    아무쪼록 저의 답변이 문제 해결에 작게 나마 도움이 될 수 있기를 기원드립니다. 항상 건강하고, 행복하세요^^

    정진석 치과의사 드림

  • 안녕하세요. 송우식 치과의사입니다.

    수평매복 사랑니 입니다. 사랑니 뽑는 수술할 때 사랑니를 부수고 덮고 있는 뼈도 삭제해야 합니다. 또한 사랑니 뿌리끝과 신경관이 맞닿아 있어 드물게 감각이상이 올 수도 있지만 발치해야 합니다. 그냥두면 바로 앞 어금니 뒤쪽이 상하게 됩니다.

  • 안녕하세요. 안상우 치과의사/경제·금융전문가입니다.

    해당되는 사랑니는 완전매복으로 발치시에 치조골삭제와 치아 삭제를 상대적으로 많이 해야 하는 케이스 입니다.

    현재 사랑니가 치아를 흡수하지 않고 있고 잇몸밖으로 나오지도 않았기 때문에 염증이나 주변치아에 문제를 발생시킬 위험이 없어 발치를 하지 않아도 괜찮아요.

    시간이 지나서 잇몸위로 사랑니가 올라오거나 할때 발치를 한다면 지금 발치를 하는것보다 쉽게 발치할수도 있습니다.

    정확한 확인을 위하여 치과에서 자세한 진료를 받아보시길 권장 드립니다.