의료상담
사랑니 실밥이 느슨해진거같은데 병원을 가봐야할까요?
성별
남성
나이대
20대
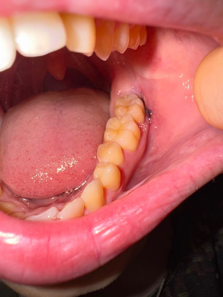
사랑니 발차 수술후 봉합을 했는데 봉합한 실이 풀린거같아서 여쭈어봅니다 이거 풀린거고 병원을 방문해봐야할까요? 아니면 3일후에 실밥 풀러가는데 그때 가도 상관없을까요?
55글자 더 채워주세요.
3개의 답변이 있어요!
사진의 소견만으로 정확한 판단을 내릴 수는 없지만, 사진만 보았을 때에는 봉합사가 풀렸다고 판단을 내릴 명확한 근거가 있어 보이지 않습니다. 우려스럽다면 바로 상태 재평가를 위하여 재차 진료 및 검진을 받아보시는 것이 도움이 될 수 있겠습니다.
안녕하세요. 이영민 의사입니다.
현재 사진상의 정황만으로 놓고 볼때 봉합실이 완전히 풀린 상태로 보이지는 않고, 출혈이나 통증이 심하지 않다면 당장에 병원을 방문할 정도는 아니고 3일 뒤에 외래가 잡혀 있다면 해당 일에 방문하셔도 무방할 것으로 보입니다. 다만 추후에라도 음식물이 자주 끼는 증상이 생기거나 해당 부위의 출혈이나 통증이 발생하면 즉시 치과에 방문하실 것을 권유드립니다.
감사합니다.
안녕하세요. 최성훈 내과 전문의입니다.
특별히 출혈이 없다면 발치 부위로 음식물을 씹는 것은 피하고 경과를 지켜보다 발사 예정일에 방문하시기 바랍니다.
걱정된다면 진료 받은 치과에 문의해보시기 바랍니다.

