의료상담

앞니 뿌리염증일까요? 잘 모르겠습니다

안녕하세요 최근에 치과에가서 검진을 받다가

궁금증이 생겨서 질문 올립니다 !

우선 앞니 염증을 한번 겪은 사람으로서 작은거에도 의심이 계속 생기더라구요

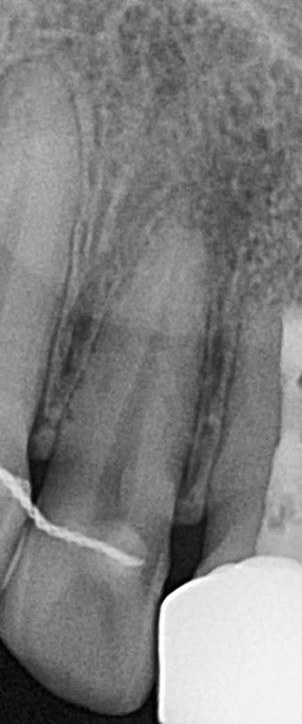
치과에서 파노라마 , 치근단사진 , 씨티 를 함께 찍었고

앞니 뿌리끝 염증이 의심되어 씨티 확인해보니

염증은 없다는 소견을 받았습니다

그런데 이상하게 코 밑을 누르면 소름돋게 이상한 느낌이 들고, 입천장을 혓바닥으로 쓸면 앞니에서 느낌이 듭니다.

치과에서는 까맣게 보이는게 뼈의 밀도 차이라고 하셨는데.. 왜 코밑을 누르면 소름돋는 느낌이 나는걸까요 ..

(위치는 작은 앞니 입니다!)

  • 1번 째 사진
  • 2번 째 사진

1개의 답변이 있어요!

  • 안녕하세요. 최석민 치과의사입니다.

    사진상 보이는 건 lateral fossa입니다 구글에 검색해보시면 연관된 사진 많이 나옵니다 특별히 치아에 큰 문제는 없어보입니다

    다만 이제 교정을 한 치아라 뿌리가 좀 짧아져 있는 것도 있고 앞으로 외흡수가 진행될 수 있는 가능성이 있으니 증상이 악화되는지 한번 지켜봐야겠습니다