아하
  • 토픽

  • 스파링

  • 잉크

  • 미션


의료상담

안녕하세ㅇ

안녕하세ㅇ

폐결절 간유리인가요 반고형 간유리인가요, 고형인가요

성별

남성

나이대

30대

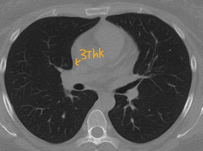
첫병원은 어느슬라이드에서는 고형같기도하지만 간유리같다.지금 큰병원은 처음엔 간유리랫는데 영상의학과 판독후 고형이라고 나온후 두번째 병원도 갑자기 고형이래요.

슬라이드 하나넘길때마다 아주옅은 간유리에서 음영짙은 결절에서 또 넘기면 완전 하얀 고형처럼 보여요.

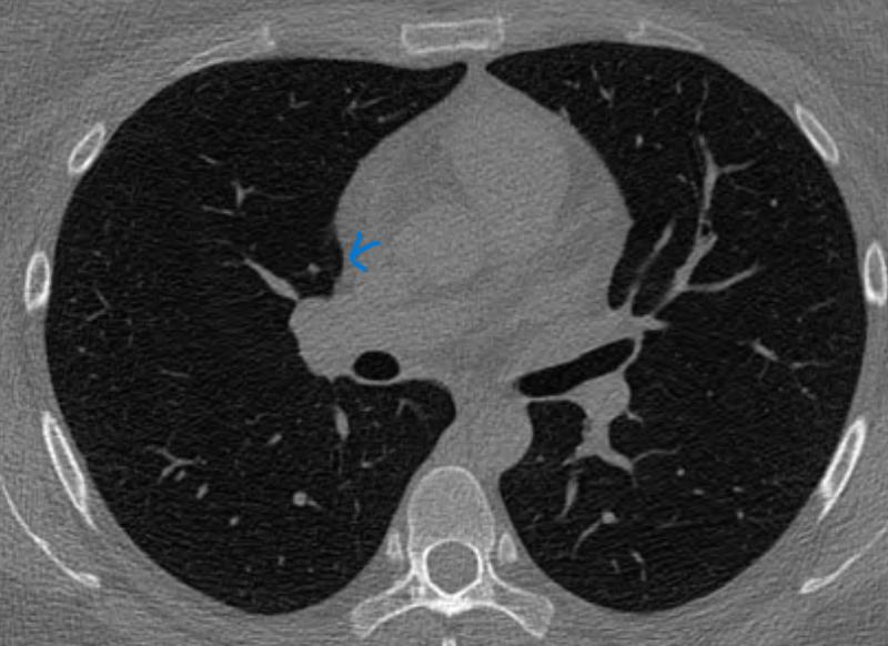
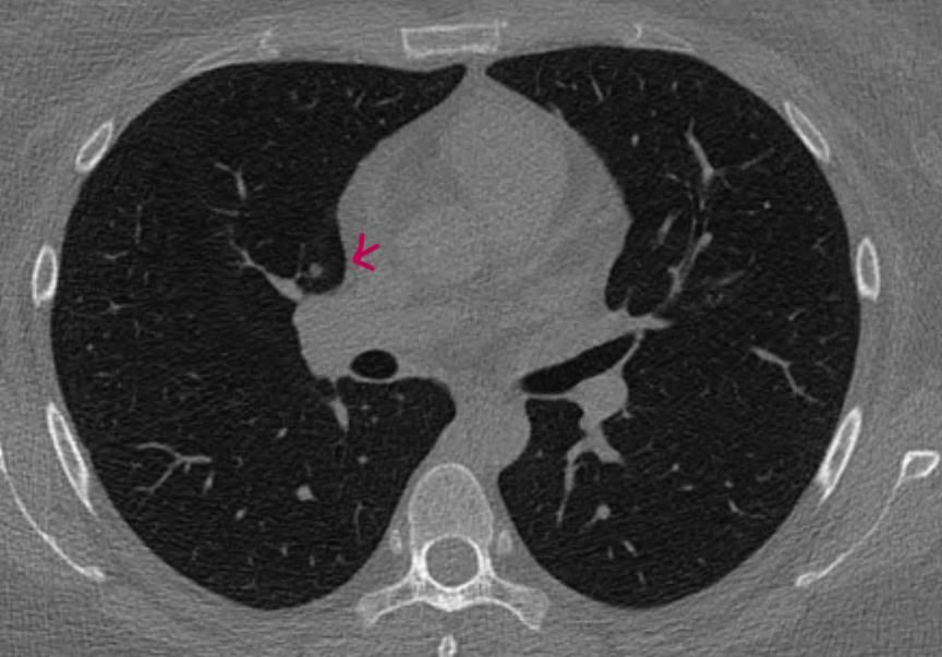
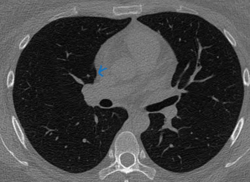
파란색, 붉은색 화살표 표시있는게 시리즈5 1thk인데

시리즈 2인 3thk만 보면서 진료를 받은거 같아요. 파란색 사진의 고형도 안나오고,

빨간색 사진의 짙음 음영 고형?반고형?간유리 결절이 안보이는 ct영상

25년 결절 판독 Little change of a tiny solid perifissural nodule in RUL (2-52).

: probably, benign.

24년 결절 판독 오른쪽 indeterminate

고형이애요 간유리에요 반고형간유리 같나요

정말 잘 아시는 분만요..

요약 정보가 없어요.

  • 1번 째 사진
  • 2번 째 사진
  • 3번 째 사진
  • 4번 째 사진
  • 5번 째 사진

1개의 답변이 있어요!

  • 김창래 내과 전문의

    김창래 내과 전문의

    삼성열린내과

    안녕하세요. 김창래 내과 전문의입니다.

    영상의학과에서 고형 결절로 판단하였다면 최종적으로는 고형 결절로 판단해야 합니다. 간유리음영 결절과 고형 결절은 음영의 정도를 나타내는 하우스필드 값을 근거로 판독하게 되믄데 영상의학과 전문의의 판독을 따르는 것이 일반적입니다. 따라서 처음에는 간유리 음영으로 설명을 들었더라도 최종 영상의학과 전문의의 판독이 고형 결절로 확인되었다면 고형 결절로 보는 것이 타당합니다.