아핫뉴스실시간 인기검색어
아핫뉴스 화산 이미지
화산 아이콘 11
장동혁 필리버스터
아하

의료상담

치과

모레도화기애애한카페라떼
모레도화기애애한카페라떼

사랑니가 턱통증에 영향을 미치나요?

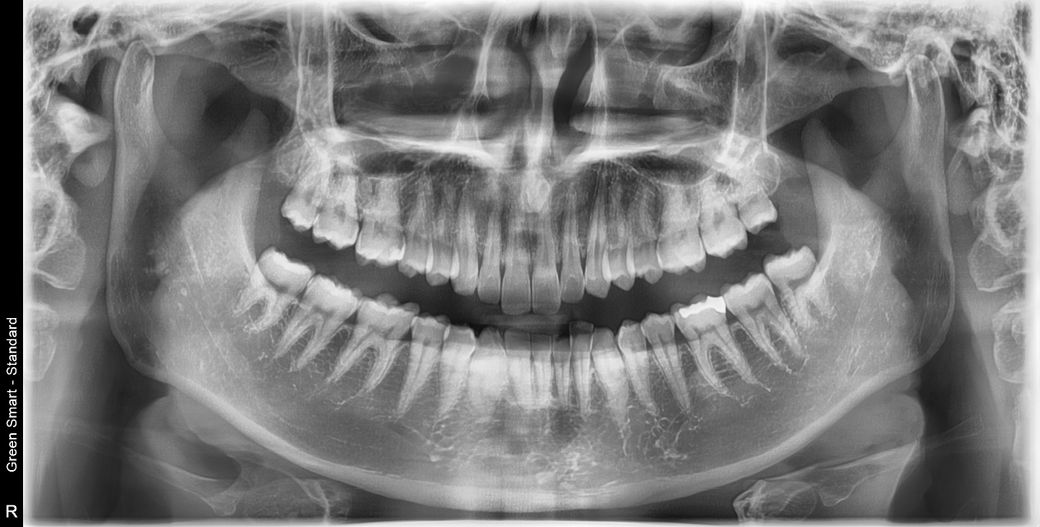
한 2주 전부터 왼쪽턱에서 딱 소리가 난 후 입을 크게 벌리거나 어느쪽이던 질긴 음식(예: 건새우, 나물 등)을 씹으면 5-7정도의 통증이 있어요. 병원에서 약 받고 물리치료도 받고 있는데, 사랑니가 근본적인 원인인거 같다고 발치를 권유받았는데 그럴 수 있나요? 사랑니 발치 후 회복기간도 그렇고, 발치 후 문제가 생기지는 않을까 걱정이 됩니다. (사진처럼 사랑니가 위치는 잘 난편인데 어금니를 깨물때 양쪽다 동시에 맞물리지는 않고 한쪽만 맞물립니다, 사랑니는 잘 나왔어도 빼는게 좋은편인가요? )

  • 1번 째 사진
4개의 답변이 있어요!
  • 안녕하세요. 안상우 치과의사입니다.

    턱관절 질환은 톡에 가해지는 힘이 강해서 생기게 됩니다 사랑니가 나와 있고 해당 부위에 간섭이 있다면 불편감을 유발하는 경우도 있습니다 사랑니가 문제라면 사랑니를 발치하는 것이 좋고 턱관절의 문제가 있다면 턱관절 치료를 받아 보는 것이 좋습니다 자세한 확인을 위해서 치과에서 진료를 받아 보는 것을 권유 드립니다.

  • 안녕하세요. 김철진 치과의사입니다.

    사랑니때문에 염증이 생기게된경우에는 턱이 아플수도 있습니다. 치과에 가셔서 사랑니 검진을 먼저 받아보세요.

  • 안녕하세요. 김지훈 치과의사입니다.

    사랑니가 턱의 통증을 일으키는 원인일 수 있습니다. 잘 나오더라도 웬만하면 빼는 게 낫습니다.

  • 안녕하세요. 최석민 치과의사입니다.

    현재로선 특별히 사랑니가 턱관절 통증에 기여요인이 될 정도로 삐뚤게 나오거나 어디를 자극하고 있지는 않습니다. 발치를 원하지 않는다면 턱관절 물리치료, 약처방 등의 치료를 좀 더 받아보시는 것도 좋을 것 같습니다. 현재 사랑니 맹출 양상으로만 따지자면 발치가 불필요합니다.