아핫뉴스실시간 인기검색어
아핫뉴스 화산 이미지
화산 아이콘 11
정청래 합당 제안
많이 본
아하

의료상담

이비인후과

훌륭한밀잠자리23
훌륭한밀잠자리23

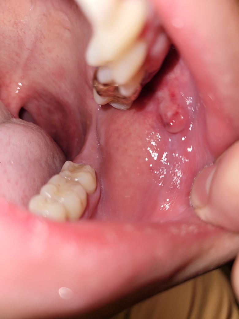
입안 통증을 동반한 물집이 생겼어요.

성별
남성
나이대
36
기저질환
없음
복용중인 약
없음

어제 밤에 갑자기 생긴 거 같고, 입안부터 광대까지 통증이 있네요. 신경이 쓰일 만큼 통증이 심합니다. 어떤 경우일 수 있는 지 궁금합니다.

  • 1번 째 사진
  • 2번 째 사진
3개의 답변이 있어요!
  • 안녕하세요. 임계홍 의사입니다.

    구강 궤양처럼 아프타성 궤양도 의심되고, 자기도 모르게 깨무셨을수도 있습니다. 타이레놀 등 복용후 경과 지켜 보십시요

  • 안녕하세요.

    입안은 생각보다 세균이 많기 때문에 피곤하거나 입안에 상처가 조금만 생겨도 물집이

    잡히고 염증이 발생하게 됩니다. 억지로 터뜨리는 경우, 염증이 재발 할 수 있으며 시간이

    지나면서 회복하지만 경우에 따라서는 항생제를 같이 복용하게 됩니다.

  • 안녕하세요. 강성주 의사입니다.

    이빨에 의한 외상의 가능성 및 구내염의 발생가능성이 있기 때문에 우선 가글을 시행하여 주시고, 치과 및 이비인후과에 내원하시어 정확한 진단 및 처방을 받으시는 것을 추천드립니다.

    감사합니다.