의료상담

잇몸 통증 관련해 치은염, 치주염 질문드립니다

약 2~3일 정도 전부터 아랫니 4개의 잇몸이 뻐근하고 욱신거리는 듯한 통증이 있고, 이를 다물었을때 약간 아귀가 맞지 않는 느낌이 듭니다.

양치를 한다고 출혈이 생기지는 않는데 조금 많이 거슬려서 질문드립니다. 치주염 의심을 하고 치과를 가보는 것이 좋을까요?

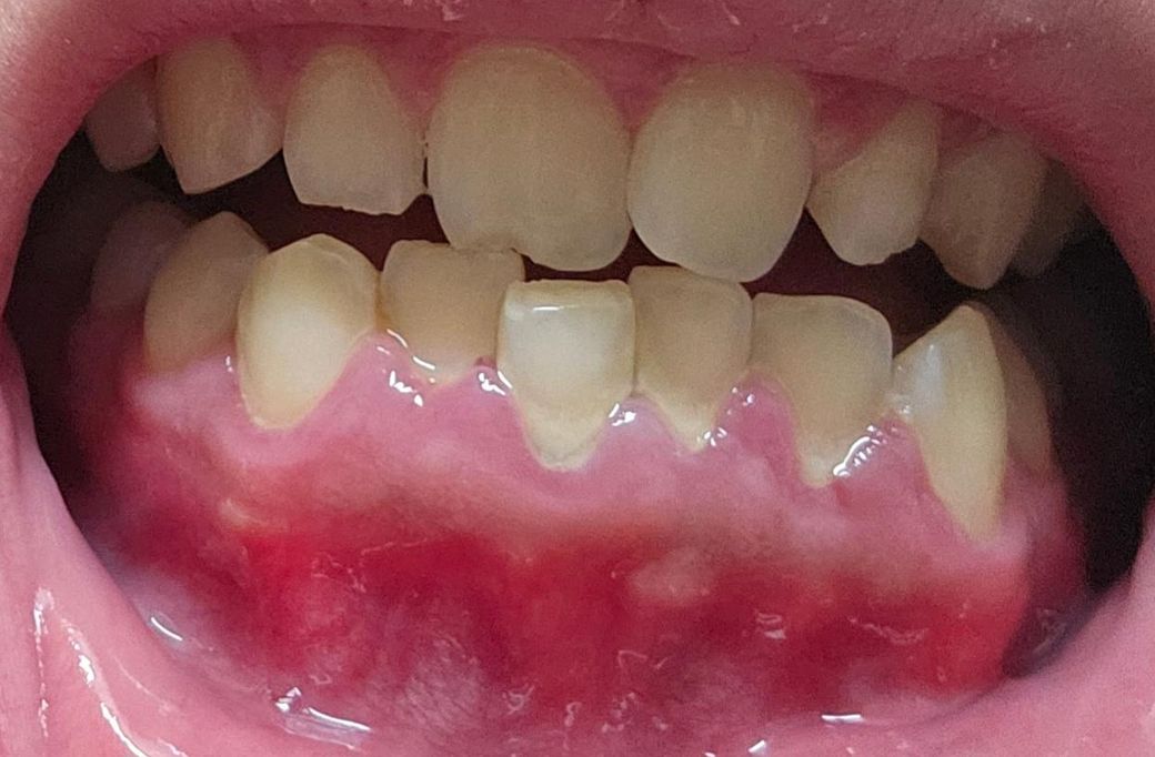
사진은 플래시 유무 차이를 두고 올려봅니다

  • 1번 째 사진
  • 2번 째 사진

2개의 답변이 있어요!

  • 안녕하세요. 류동균 치과의사입니다.

    사진에서 전반적인 잇몸의 발적과 부종이 관찰됩니다.

    사진의 해상도 때문에 확실치 않으나 아래 앞니 부근에 치석도 꽤 침착된 것으로 보입니다.

    치주염으로 예진 가능한 상황이오니, 가까운 치과에 내원하여 잇몸에 대한 정밀 진단을 받고 치료 계획을 세워보는 것을 권합니다.

    채택 보상으로 257베리 받았어요.

    채택된 답변
  • 안녕하세요. 최석민 치과의사입니다.

    잇몸 부종도 심하고 치석이 많습니다 잇몸 상태가 좋을수가 없는 상황이고요 치과가서 스케일링과 잇몸치료받아보시기 바랍니다