아핫뉴스실시간 인기검색어
아핫뉴스 화산 이미지
아하

의료상담

치과

끝까지따스한대나무
끝까지따스한대나무

엑스레이 보고 어떻게할지 솔루션 부탁드립니다

7일전 신경치료 완료

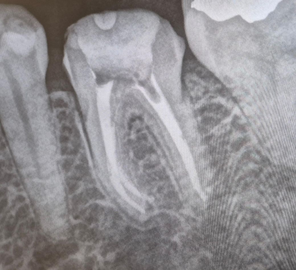
아래 엑스레이 완료후 사진

근관에 충전재 아래와 같이 보충됨

(보통 충전재는 멸균과 밀폐되게 하는거 아닌가요)

기존 치아 표면 시림

솜 자작시 욱씬 아리한 통증 있는상태임

원인을 모르겠다 굳이 원인을 찾자면 치아뿌리 잡고있는 인대?

우선 크라운하고 계속아프면 임플란트 말씀하심

(치아 작게 만들어 놓은 상태라 윗니 아랫니 닿지 않음-통증이 심한날 타치과 가니 2달 자작이 없는 치아인데 인대요?갸우뚱하심 )

신경치료로 더이상 할께없다고 하시며 마무리 ㅜ

다음주에 레진하고 틀맞추신다 하신거 같은데

이대로 진행해도 될까요 ㅜㅜ

더불어 근관내 충전 상태 불량 같은데

어케해야할까요 ㅜㅜ

엑스레이 찰영후 나올때 병원 치위생사님이

원래 다이렇게 한다고

조금 비워진 부분은 레진 스며들꺼라며 말씀하셨는데

그런건가요 ㅜㅜ

참고로, 아프지 않은 치아 금인레이 탈락으로 신경치료 크라운후 통증으로 재신경치료 한 경우입니다.

  • 1번 째 사진
  • 2번 째 사진
3개의 답변이 있어요!
  • 안녕하세요. 안상우 치과의사입니다.

    사진으로 봤을 경우에는 근관 내는 매우 충전이 잘 된 것으로 보입니다. 중간에 메꿔져 있지 않는 부분은 크게 문제가 되는 부분이 그건 아닙니다.

    신경치료를 꼼꼼하게 했음에도 불구하고 지속적으로 통증이 있다면 뿌리의 금이 갔을 가능성이 높습니다. 뿌리에 금이 갔을 경우에는 치아를 발치하는 방법이 치료 방법이 될 수 있습니다.

  • 안녕하세요. 김철진 치과의사입니다.

    엑스레이 상으로는 신경치료가 잘된거 같습니다. 증상이 잇다면 일단 임시치아로 먼저 사용해보시는게 좋을것같습니다.

  • 안녕하세요. 최석민 치과의사입니다.

    1. 신경치료 자체는 훌륭하게 잘 된 것 같습니다

    2. 미세하게 크랙이 있어서 그럴 수도 있고요, 지금 상태에서는 조금 더 지켜보거나 임시치아를 만들어 치아를 보호해주고 기다려보는 방법 밖에 없습니다.