아하
  • 토픽

  • 스파링

  • 잉크

  • 미션


의료상담

지나치게신속한노송나무

지나치게신속한노송나무

발치후 상악동 천공. 맨끝 어금니 임플란트 꼭 해야할까요??

4일전 임플란트 치료를 위해서 맨끝 맞닫는 어금니 상하악을 발치했어요.

상악 어금니 발치도중 상악동 천공이 생겼습니다.

발치전에 천공에 대한 설명을 듣지는 못 했고,

뼈가 많이 부족해서 뼈이식을 해야 한다 해셔서 꼭 해야하냐고 여쭈니 뼈이식을 하지않으면 임플란트 나사가 상악동을 뚫을 수 있다고 설명 하셨습니다.

결국 발치후에 구멍이 뚫렸고, 현재 너무 끔찍한 경험을 하고 있습니다.

병원에서는 추후 임플란트 시술시 뼈이식을 상당히 많이 할꺼라고 하셨고요.

걱정되는 마음에 글들을 찾아보다가 상악동 거상술, 뼈이식을 진행하다가 다시 천공이 되는 사례들도 많다는걸 알게 되었습니다.

이미 크게 한번 뚫린 상태이고 지켜보는 중인데,

이게 자연치유가 될지, 얼마나 걸릴지 모르는 상태라 하루하루 끔찍하기만 합니다.

설사 잘 아물었다한들 또다시 뚫리게 될까봐 걱정도 되고요.

그러다 맨끝 맞닫는 어금니 두개가 다 발치되면 굳이 이를 식립하지 않아도 괜찮다는 글을 여러개 보았습니다.

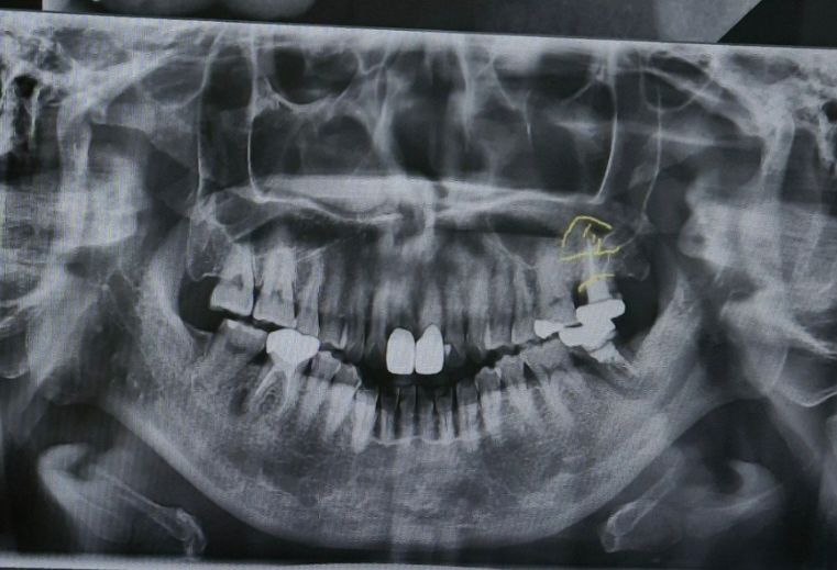
제 사진을 첨부합니다.

제 경우 굳이 하지않아도 될까요??

현재 사보험으로 임플까지 다 보장받을 수 있지만,

천공은 생각지도 못 해도 겪고있는 지금 너무 힘이듭니다.

정말 지인이라 가족이라 생각하시고 고견 부탁드려도 될까요?

의사선생님 말씀으로는 이미 치아가 상악동에 들어가 있어서 뚫리는건 당연하고, 발치한 앞의 치아도 상악동에 들어가 있어서 발치시에 또 천공이 될꺼라 하셨습니다.

고견 부탁드립니다.

사진에 보이는 노란색 선 위아래 발치했습니다.

  • 1번 째 사진

3개의 답변이 있어요!

  • 안상우 치과의사

    안상우 치과의사

    목동안치과의원

    안녕하세요. 안상우 치과의사입니다.

    발치 후에는 상악동 천공이 일어날 수 있습니다. 상학동 천공은 대부분 시간이 지나면서 없어지기 때문에 너무 걱정하지 않으셔도 됩니다. 해당 부위의 치아는 없어도 기능을 하는데 크게 문제는 없지만 교합을 하는 힘이 강한 분의 경우에는 일곱 번째 어금니까지 있는 것이 교화 밥을 분산하는데 더 유리할 수 있습니다.

  • 안녕하세요. 김철진 치과의사입니다.

    오히려 아래쪽 치아 상태가 더 많이 안좋아 보입니다. 상악보다는 아래쪽 치아에 뼈이식을 더 많이 할꺼 같습니다.

  • 안녕하세요. 송우식 치과의사입니다.

    천공이 잘 치유된다면 맨 끝 어금니는 필수적으로 임플란트를 해야 하는 상황이 아닐 수 있습니다. 하지만 임플란트를 하지 않아 주변 치아나 교합에 문제가 생긴다면, 안정된 치유 후 상악동과 뼈를 보강하는 방식으로 신중히 치료를 권합니다.

    우선은 치유 과정에 집중하고 필요 시 해당 치과와 상의하에 대안을 생각하길 권합니다.


    만족스러운 답변되셨으면 합니다.

    <평가> 감사합니다.