아하
  • 토픽

  • 스파링

  • 잉크

  • 미션


의료상담

살짝쿵도전하는오징어튀김

살짝쿵도전하는오징어튀김

복부 ct (contrast) 영상 판독해주세요!!

성별

여성

나이대

50

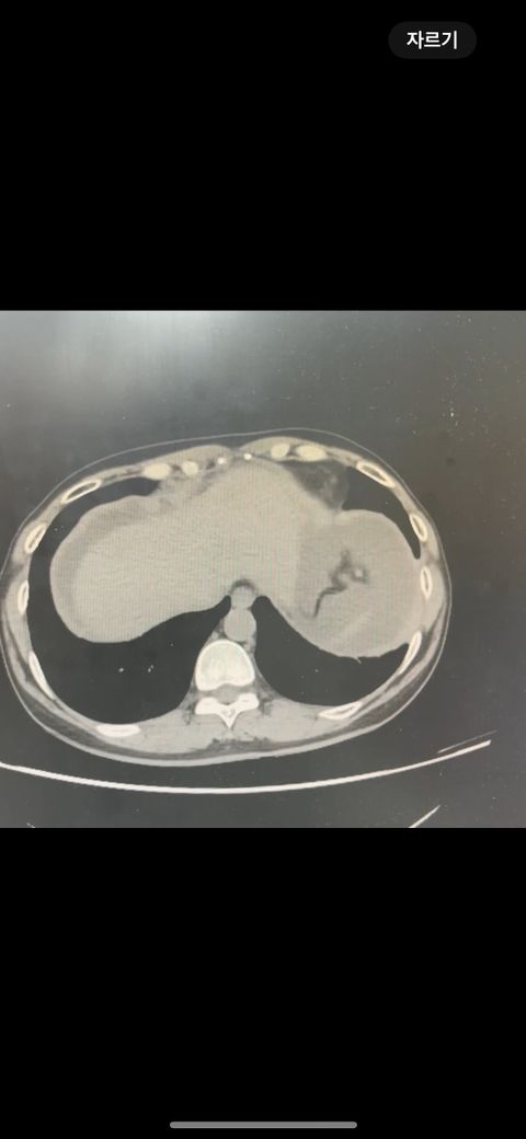
어제 복부 ct 촬영하였는데 판독 하려면 시간이 걸려서 미리 알 수 있을까요? 지금 증상은 윗배가 많이 나왔고 허리 아프고 조금만 밥 먹어도 배부른 상태입니다..

  • 1번 째 사진
  • 2번 째 사진
  • 3번 째 사진
  • 4번 째 사진
  • 5번 째 사진
  • 6번 째 사진
  • 7번 째 사진
  • 8번 째 사진

2개의 답변이 있어요!

  • 이영민 의사

    이영민 의사

    서울아산병원

    안녕하세요. 이영민 의사입니다.

    전일 답변드렸던 질문자님인 것으로 생각이 되며, 현재 사진들만으로는 전반적인 의심 증상을 설명하기는 어렵습니다.

    어제 말씀드린대로 자궁 쪽에 불규칙한 음영들이 보이고 있어 물혹이 있는 것으로 의심해 볼 수 있으며, 이외에 복부에 가스가 조금 차있거나 비장이 약간 커져 있는 듯한 모습이 보이나 일부 단면만으로 유추한 것이라 판독 상 틀릴 가능성도 있겠습니다.

    월요일 경에는 판독 결과가 나올 예정이므로 기다리셨다가 정식 판독을 받아보시는 것이 좋겠습니다.

    감사합니다.

  • 안녕하세요. 채홍석 가정의학과 전문의입니다.

    업로드해주신 증상의 설명과 자료는 잘 보았습니다

    CT를 모두 볼 수 있으면 좋은데 그렇지 못하네요

    별로 좋아보이지는 않습니다. 판독을 굳이 기다릴 필요는 없을 것 같네요

    대학병원이면 기다리고 그렇지 않다면 진료를 받아보세요

    아마다 담당선생님이 아직 영상을 못 보신 것 같네요.