요추mri판독 해주세요 ~~낭종도같이요

성별

여성

나이대

36

복용중인 약

소염진통제

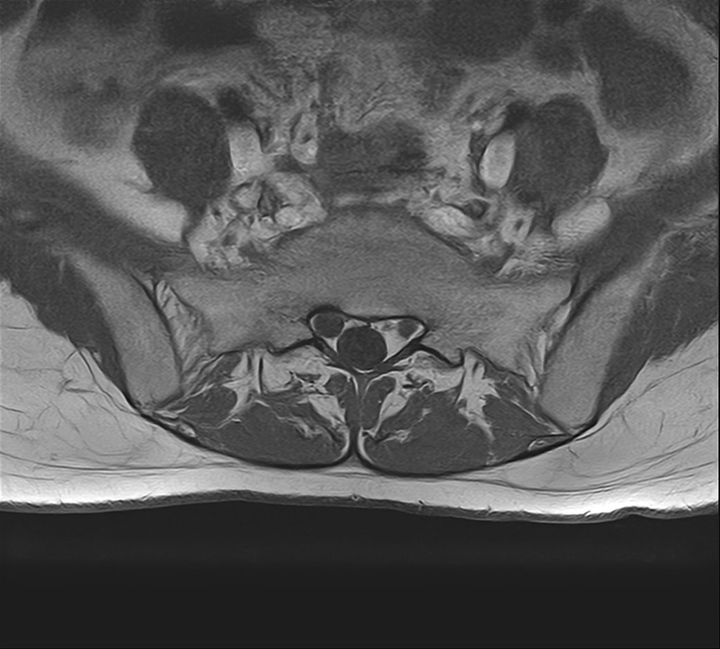
낭종s1-3번까지 꼬리뼈쪽으로 크게 나있다고했고, 단면상으로는 s2,3번이 촬영이 안되서 확인이안된다합니다. 허리디스크가 미약하게 4,5번에 있다고 했는데,

판독한번만 부탁드립니다 ㅠㅠ

지금 골반라인에 통증있고, 앉거나 일어날때 억 하면서 아파요 ㅠ 다리저림 화끈함 동반되구요

혹시 디스크로 인한 신경눌림인지, 낭종으로 인한건지 알수잇나요?

낭종으로 인한 거라면 시술이 가능한 병원을 알고싶습니다 ㅠ

  • 1번 째 사진
  • 2번 째 사진
  • 3번 째 사진
  • 4번 째 사진
  • 5번 째 사진
  • 6번 째 사진
  • 7번 째 사진

아직 답변이 없어요.