아하
  • 토픽

  • 스파링

  • 잉크

  • 미션


의료상담

심심한나방146

심심한나방146

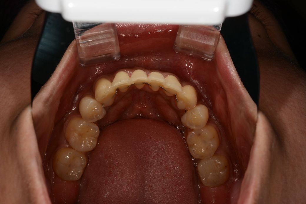
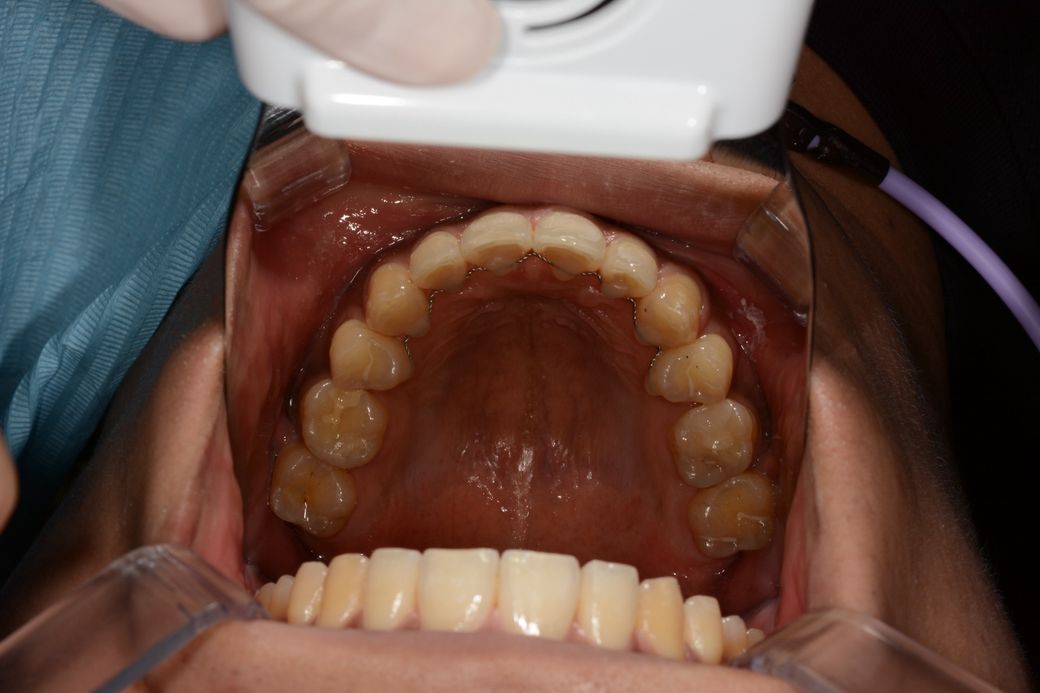
교정 마무리단계부터 발생한 입 돌출 증상

안녕하세요 ,

마무리 단계 들어가고 교정장치 뗀 이후에

정면에서 보면 인중 바로 아래 부분(white lip/비순부) 이

조금 도톰해 보이고 살짝 앞으로 나와 보이는 느낌이 들어서 여쭤보려고 해요.

옆모습은 괜찮은데, 정면에서만 살짝 둥글어진 느낌이 있어요.

Gpt 한테 물어보니,

“겉 치아 위치는 잘 되어있어도, 앞니 뿌리 쪽 각도가 조금만 앞으로 남아있으면

이 비순부가 두툼해 보일 수 있다” 라고 하더라고요.

그래서 여쭤보고 싶어요

혹시 이런 느낌이 앞니 치근 각도 때문에 생길 수도 있을까요?

만약 그렇다면 아주 가볍게 치근 각도만 살짝 조정하는 방법으로

정면에서 보이는 입매가 다시 자연스러워질 수 있을까요?

저는 다시 크게 교정하고 싶은 건 아니고,

가능하다면 짧은 기간의 미세 조정으로

이 부분이 조금 완화될 수 있는지 궁금해요.

봐주셔서 감사합니다 🙏

  • 1번 째 사진
  • 2번 째 사진
  • 3번 째 사진
  • 4번 째 사진
  • 5번 째 사진
  • 6번 째 사진

3개의 답변이 있어요!

  • 김지훈 치과의사

    김지훈 치과의사

    메가

    안녕하세요. 김지훈 치과의사입니다.

    치아의 각도가 영향을 줄 수 있습니다. 다니시는 치과에 문의해보시는 것이 원하는 답변을 얻을 수 있을겁니다.

  • 안녕하세요. 김철진 치과의사입니다.

    사진상으로는 앞니가 많이 튀어 나오거나 그래 보이진 않습니다. 일단 이부분은 교정을 한 치과에 가셔서 이야기를 나눠보셔야될것같습니다.

  • 안녕하세요. 최석민 치과의사입니다.

    1. 앞니 뿌리 각도의 문제일 수도 있고, 연조직 자체의 문제일 수도 있습니다

    2. 뿌리 각도 수정하는 건 단기간 내에 안됩니다