아하
  • 토픽

  • 스파링

  • 잉크

  • 미션


세심한후루티14

세심한후루티14

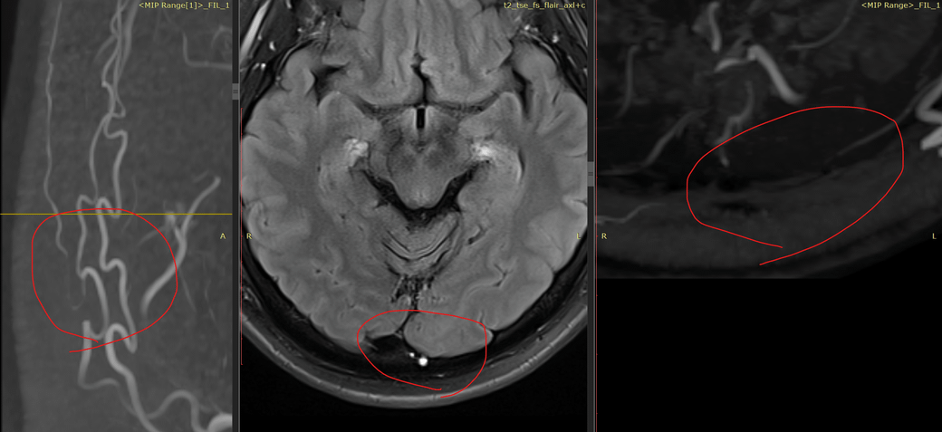
MRA 판독 부탁드립니다. 정상 맞나요?

mri mra 정상 소견 받았는데 제가 찾아보니 이상한 부분이 있어서요.

다시 병원 가서 물어볼까요?

위 세 사진은 같은 부위입니다.

1. mra

2. t2 flair

3. mra

셋 모두 조영제를 사용한 영상입니다.

  • 1번 째 사진

2개의 답변이 있어요!

  • 최병관 내과 전문의

    최병관 내과 전문의

    Awal Medical Centre, Sarina

    안녕하세요. 최병관 의사입니다.

    영상의학과 의사가 이미 판독한 것이라면 정상으로 보는 것이 합당할 것 같습니다. 특별히 해당 부위에 언급이 없다면 정상 소견이거나 임상적으로 큰 의미가 없을 수도 있습니다. 그러므로 해당 병원에 다시 문의하시는 것이 좋겠습니다.

  • 안녕하세요 아하(Aha) 의료, 코로나 카테고리에서 활동중인 전문의입니다.

    특별한 이상소견이 보이지 않는 MRA 사진입니다.

    3장의 컷만으로는 확실한 감별이 어렵기도 합니다.

    참조하시어 도움이 되기를 바랍니다.