아하
  • 토픽

  • 스파링

  • 잉크

  • 미션


의료상담

aaaaaaaaaaa

aaaaaaaaaaa

25.03.01

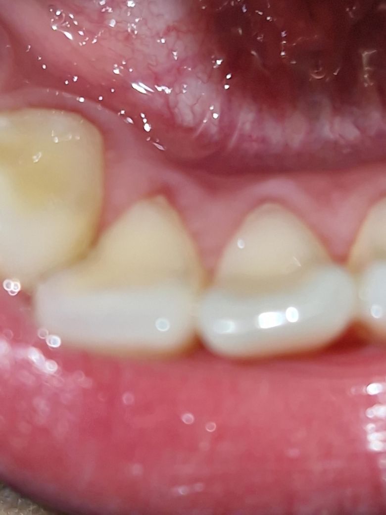
앞니 뒤 잇몸이 내려간건지 궁금합니다.

앞니 뒤 잇몸이 내려간건지 궁금합니다.

이빨이 흔들린다던가 하는 증상은 없는데 잇몸이 더 패인 느낌입니다.

정말 파인건지 궁금합니다.

  • 1번 째 사진
  • 2번 째 사진

5개의 답변이 있어요!

  • 김철진 치과의사

    김철진 치과의사

    가까운우리치과

    25.03.02

    안녕하세요. 김철진 치과의사입니다.

    치석때문에 잇몸에 염증이 생겨서 일시적으로 부어서 그러는거 같으니 치과에 가셔서 스켈링을 받으시는게 좋을것같습니다. 

  • 안녕하세요. 김지훈 치과의사입니다.

    치석이 생긴 것으로 보입니다만 잇몸 상태가 많이 퇴축되었다거나 그렇게 보이지는 않습니다.

  • 안녕하세요. 안상우 치과의사입니다.

    사진을 봤을 경우에는 큰 문제가 보이지는 않습니다. 작은 치석이 있는 것처럼 보이기도 합니다.

    치석이 있는 경우 잇몸치료나 스케일링이 필요할수 있으니 치과에서 진료를 받아 보는 것을 권유드립니다.

  • 안녕하세요. 송우식 치과의사입니다.

    잇몸의 퇴축이 다소 있는 것으로 보이며, 더이상의 퇴축을 막기 위해 부드러운 칫솔로 부드러운 힘으로 양치를 하여 관리하길 권합니다.

    만족스러운 답변되셨으면 합니다.

    <평가> 감사합니다.

  • 안녕하세요. 최석민 치과의사입니다.

    네 사진상으로 봤을때 잇몸이 특정부위가 다소 퇴축되었고 치석도 있습니다 스케일링 받으시기 바랍니다