아하
  • 토픽

  • 스파링

  • 잉크

  • 미션


그런대로실용적인프레첼

그런대로실용적인프레첼

25.05.20

선생님들 Mri판독 좀 부탁드립니다.

성별

남성

나이대

40

기저질환

없음

복용중인 약

없음

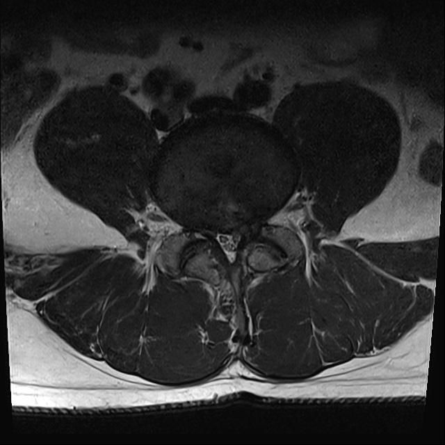
L4-5번 후궁절제술 경험이 있습니다. 근전도 검사에서 신경근병증 받았구요..재발인거 같아 수술고려중인데 판독부탁드립니다.감사합니다;).

  • 1번 째 사진
  • 2번 째 사진
  • 3번 째 사진

1개의 답변이 있어요!

  • 남희성 의사

    남희성 의사

    대학병원 재활의학과

    25.05.20

    안녕하세요. 남희성 의사입니다.

    근전도 검사 결과지를 보여주시면 조금 더 상세한 설명이 가능하겠습니다.

    수술의 기준은 이런 MRI나 근전도 보다도 증상이 가장 중요합니다.

    특히나 나이가 많이 않은 40세 이시기 때문에 수술 없이 자세 교정으로도 좋아질 수 있는 가능성이 높습니다.

    다리에 근력저하가 심해서 중력을 이기고 들어올리지 못할 정도의 근력저하가 있거나, 대소변 조절에 문제가 생기거나, 자세교정을 하고도 3-6개월이 지났는데도 도저히 조절되지 않는 통증이 있다면 수술을 고려해볼 수 있겠습니다.

    단순 허리 및 다리의 방사통이 있을때는 주사치료로 통증을 조절해놓고 자세 교정으로 디스크를 회복시키면 충분히 좋아질 수 있습니다.

    근전도 검사에서 신경근병증이 확인된건 좋지 않은 소견이지만 근력저하가 전혀 없다면 신경근병증이 나왔다고 꼭 수술할 필요는 없습니다. 제가 신경외과에서 의뢰 받아서 매일 근전도 검사를 하기 때문에 이 부분은 확실히 이야기 드릴 수 있습니다.

    만약 요추전만, 자세관리를 해본적이 없으시다면 아래 영상 보시면서 허리 관리를 한번 해보시면서 경과를 지켜보시는게 도움이 되겠습니다. 단, 위에 말씀드린 바로 수술을 해야하는 증상이 있다면 지체 없이 수술을 하시는게 맞겠습니다.