아핫뉴스실시간 인기검색어
아핫뉴스 화산 이미지
화산 아이콘 11
비트코인 약세장 탈출 신호 부족
아하

의료상담

신경과·신경외과

그런대로실용적인프레첼
그런대로실용적인프레첼

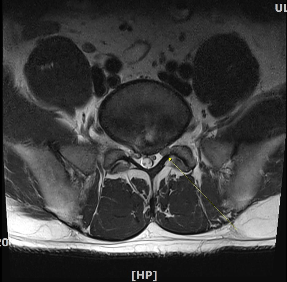
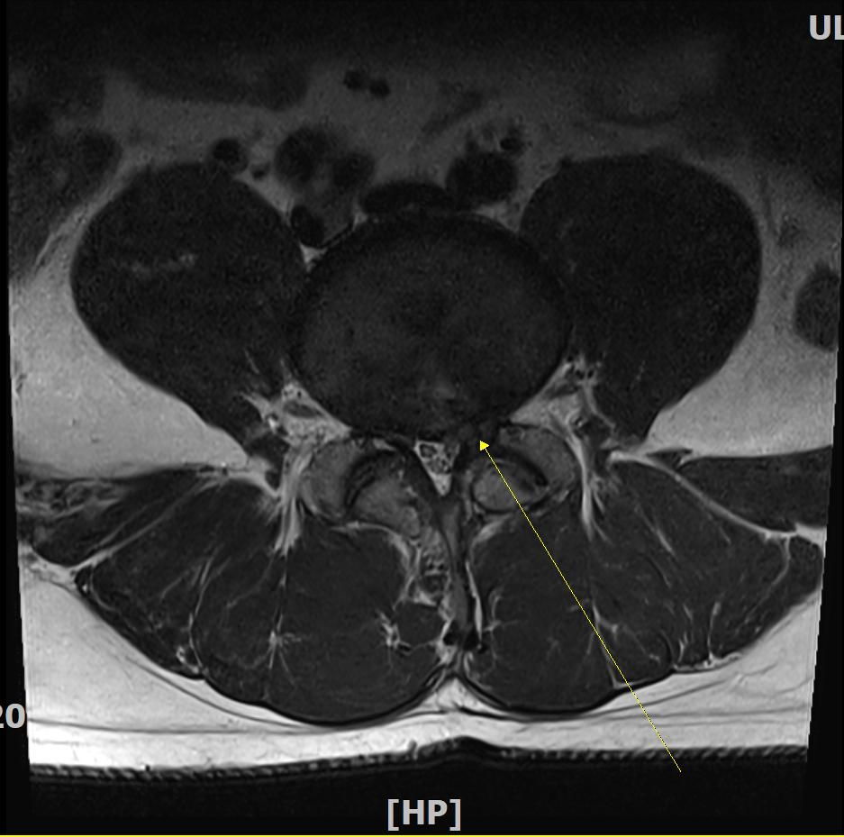
판독부탁드립니다. L4-5번 후궁절제술 및 디스크 제거술 2004년도에 실시하였으며 금번 mri상 추간판탈출증소견 받았습니다. 재발인지 궁금합니다

성별
남성
나이대
40
기저질환
없음
복용중인 약
없으

20년전 수술로 인하여 신경손상이 의심되는데 현재 하지방사통 및 종아리 발가락 등 오래 걷지못하고 일상생활에 지장이 옵니다. 감사합니다

  • 1번 째 사진
  • 2번 째 사진
  • 3번 째 사진
  • 4번 째 사진
  • 5번 째 사진
1개의 답변이 있어요!
  • 안녕하세요.

    결과지를 영어를 모두 한국어로 해석하는 것은 의미없을듯 보이고 이해하기 쉽게 요약드립니다.

    근전도 검사 결과 요추 5번 신경뿌리병증이 보인다는 내용입니다. 재발이라고 단언할 수는 없으나 과거 수술한 위치와 동일한 것으로 추정됩니다. 잘 치료하여 회복되시길 바랍니다.

    1명 평가