홈
토픽
스파링
잉크
미션
전문가 신청
베리몰
나도 질문하기
의료상담
늘마른우유
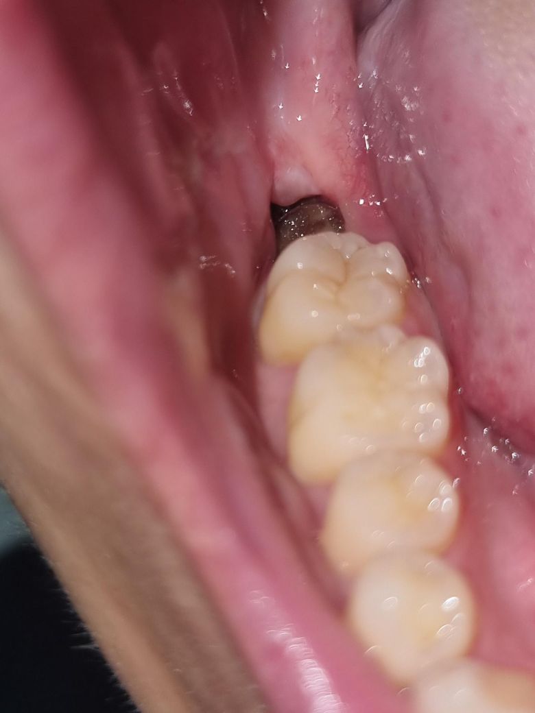
사랑니 빼고 약 다 먹고 통증도 가셔서 육안으로 확인안하고 가글이랑 양치질하고 살다가 어느날 음식 먹고 찌꺼기가 사랑니 뺀 구멍에 재대로 들어간거 같아서 가글 수십번해도 잘 안빠져서 육안으로 확인해서 찌꺼기를 뺏습니다
그런데 찌꺼기를 빼고 나고 찍은 사진인데 사랑니 자리가 갈색인게 찌꺼기가 아직 남은건지 아니면 색깔이 원래 저런건지 왜 갈색인지 모르겠네요
사진 보기
3개의 답변이 있어요!
송우식 치과의사
솔플란트치과 경기도 성남시 모란역
∙
안녕하세요. 송우식 치과의사입니다.
발치하고 생긴 구멍 안쪽이 검게 보이는 것으로 보입니다. 그냥두면 점점 차올라 오면서 좋아집니다. 찌꺼기 남은 것으로 보이지는 않습니다. 혹시 찌꺼기라도 그냥두면 저절로 빠지니 굳이 건드리지 않아도 됩니다.
평가
응원하기
김철진 치과의사
가까운우리치과
안녕하세요. 김철진 치과의사입니다.
사랑니 발치를 하고나서 잇몸이 아물면서 생기는 자연스러운 현상이니 크게 걱정하지 않으셔도 될것같습니다.
최석민 치과의사
강원도 원주의료원
안녕하세요. 최석민 치과의사입니다.
치아 빼고 빈 자리는 이제 잇몸과 잇몸뼈로 다시 채워지는데 이 회복과정에서 생기는 다양한 조직들입니다. 크게 걱정 안하셔도 됩니다.