아하
  • 토픽

  • 스파링

  • 잉크

  • 미션


의료상담

가끔순수한케첩

가끔순수한케첩

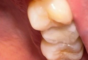
레진인레이 단차같은 부분이 느껴지는데 정상인가요?

오늘 인레이 했는데 저 단차같은부분이 자꾸 혀에 느껴지거든요 깨져있는듯한 촉감이라서 자꾸 신경쓰이는데 의사쌤한테 말했더니 갈아주셨고 그래도 느껴진다고 하니 대충 얼버무리시면서 가신듯한 느낌 ;; 굉장히 바빠보였고요;;

원래 이렇게 단차가 있는게 맞나요??

  • 1번 째 사진
  • 2번 째 사진

4개의 답변이 있어요!

  • 김철진 치과의사

    김철진 치과의사

    가까운우리치과

    안녕하세요. 김철진 치과의사입니다.

    접착제가 남아 잇어서 그럴수도 잇으니 치과에 가셔서 부드럽게 다듬어 달라고 하시는게 좋을것같습니다.

  • 안녕하세요. 김지훈 치과의사입니다.

    사진 상으로는 잘 보이지는 않습니다만 본인이 느낄 때에 걸리는 부분이 있다면 없애줘야 합니다.

  • 안녕하세요. 안상우 치과의사입니다.

    레진 충전을 하고 나면 재료가 있는 부위에 단차가 느껴질수 있습니다.

    이런경우 레진 경계부를 다듬어 주느것이 좋을수 있습니다.

    정확한 확인을 위해서는 치과에서 진료를 받아 보는것이 좋습니다.

  • 안녕하세요. 최석민 치과의사입니다.

    치아와 인레이 경계는 있을 수 있으나 높이가 안맞는 단차라면 조정보다는 재제작이 들어가야 할 수도 있습니다