아하
  • 토픽

  • 스파링

  • 잉크

  • 미션


의료상담

다소마른토스트

다소마른토스트

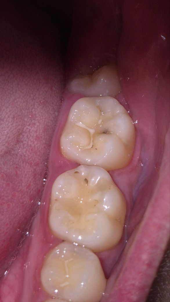
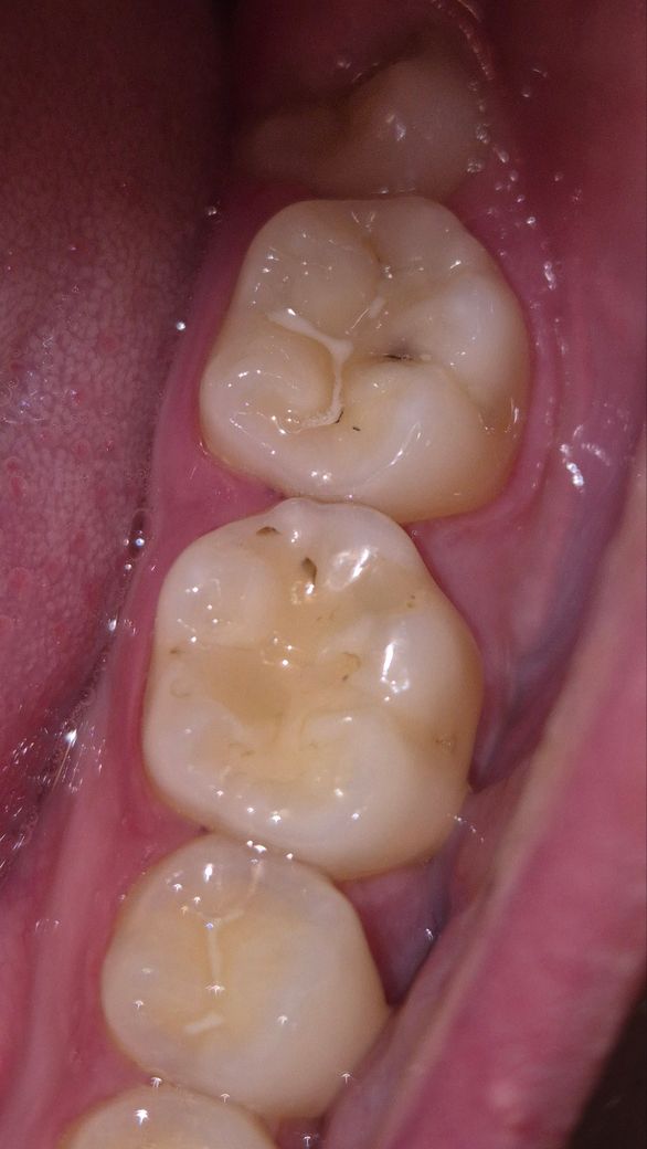
이거 충치인가요? 치료가 필요한가요

앞쪽 어금니는 착색 같은데 뒤쪽 어금니는 충치인가요?

맞다면 치료가 필요한 수준인가요?

뭔가 살짝 이질감이 들긴하는데 심하지않고

아주 미세하게 느껴져서 헷갈리네요

  • 1번 째 사진
  • 2번 째 사진

3개의 답변이 있어요!

  • 김지훈 치과의사

    김지훈 치과의사

    메가

    안녕하세요. 김지훈 치과의사입니다.

    검사를 해야겠으나 충치가 맞는 것으로 보입니다. 치료도 바로 받으러 가시는 것이 좋겠습니다.

  • 안녕하세요. 최석민 치과의사입니다.

    뒤쪽 어금니는 충치가 맞는 것으로 보입니다 보다 정확한 검사를 위해 엑스레이를 찍어보는 것이 좋을 것 같습니다

  • 안녕하세요. 김철진 치과의사입니다.

    충치가 맞는거 같습니다. 엑스레이를 찍어보고 깊지 않으면 간단히 레진으로 하셔도 될것같습니다.