아하
  • 토픽

  • 스파링

  • 잉크

  • 미션


의료상담

투명한푸들220

투명한푸들220

엑스레이로 충치인지 아닌지 판단 부탁드립니다.

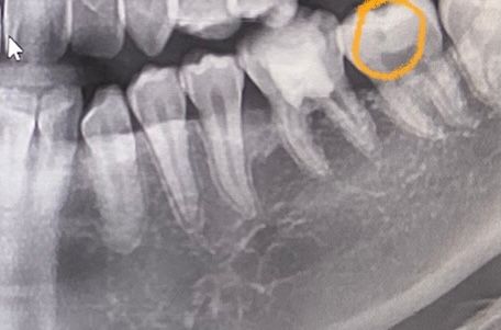
엑스레이 상으로 보이는 어두운 부분이 충치인가요?

첫번째 사진의 치아는 겉으로 보기에 이상 없는데 엑스레이엔 어두운 부분이 있어요. 충치인가요?

만약 충치라면 어떤 치료 방법이 있을까요?

첫번째 사진의 치아처럼 충치가 법랑질이 아닌 상아질에서부터 진행될 수도 있나요?

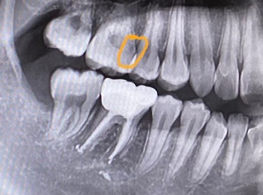
두번째 사진의 치아는 인접면 충치일까요? 인접면이 살짝 어두운데 충치인가요?

  • 1번 째 사진
  • 2번 째 사진

3개의 답변이 있어요!

  • 정진석 치과의사

    정진석 치과의사

    대학병원 통합치의학전문의

    안녕하세요. 정진석 치과의사입니다.

    사진상으로 보아서는 충치일 가능성이 매우 큽니다. 충치라면 해당 부위까지 치질을 제거해야 합니다. 다만 파노라마 사진은 3차원적인 자료를 2차원으로 반영하기 때문에 상당 부분이 왜곡될 수 있어 정확한 판단을 위해서는 임상 검사도 같이 해야 합니다.

    아무쪼록 저의 답변이 문제 해결에 작게 나마 도움이 될 수 있기를 기원드립니다. 항상 건강하고, 행복하세요^^

    정진석 치과의사 드림

  • 안녕하세요. 김지훈 치과의사입니다.

    충치는 파노라마로 판별하지는 않습니다. 치근단사진과 임상검진을 같이 하여 판별해야합니다.

  • 안녕하세요. 김철진 치과의사입니다.

    저부위가 무조건 충치라고 말씀드리기는 어려울것같습니다. 일단 육안으로도 판단을 해봐야될것같습니다.만약 저부위가 충치가 맞다면 충치가 상당히 깊은곳에 위치하는것이며 충치를 제거하는과정중에 신경이 뚤리면 신경치료를 해야될 가능성이 높습니다.