아하
  • 토픽

  • 스파링

  • 잉크

  • 미션


의료상담

호탕한나비138

호탕한나비138

이 정도가 신경치료를 해야할 정도인가요?

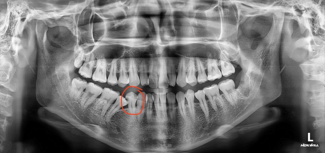
제가 치과 진료를 받는데 동그라미 쳐진 이빨의 신경과 충치가 가까워서 신경치료를 해야 한다고 하더라구요. 밑에 첨부사진은 그 치과에서 받아온 엑스레이 사진입니다.

그런데 다른 치과에 방문하니 별 문제 없다고 해서 굉장히 혼란스럽습니다.

전문가 선생님께서 판단을 해주신다면 굉장히 감사하겠습니다.

  • 1번 째 사진

3개의 답변이 있어요!

  • 김철진 치과의사

    김철진 치과의사

    가까운우리치과

    안녕하세요. 김철진 치과의사입니다.

    사진상으로 보면 괴장이 안좋은 부위가 썩어 있으신거 같습니다. 제 생각에도 신경치료를 하셔야될것같습니다.

  • 안녕하세요. 정진석 치과의사입니다.

    신경치료를 해야할 수도 있고 아닐수도 있는 중간 단계로 보여집니다. x-ray 상으로는 신경과 근접하지 않아 보이긴 하나 이는 충치 부위를 제거하다 보면 신경과 상당히 근접할 가능성도 높습니다. 신경과 근접하다보면 신경치료의 가능성을 열어두고 치료를 하셔야 합니다. 즉 모조건 신경치료를 하는 것은 아니나 아마 앞서 방문하신 치과에서는 예방적으로 말씀하신 것으로 보입니다.

    아무쪼록 저의 답변이 문제 해결에 작게 나마 도움이 될 수 있기를 기원드립니다. 항상 건강하고, 행복하세요^^

    정진석 치과의사 드림

  • 안녕하세요. 이정현 치과의사입니다.

    엑스레이 사진으로볼때, 해당치아에 충치가 깊어서, 치료하려면 신경치료를 해야할 가능성이 매우 높은것으로 보입니다.

    하지만 만약 방사선사진을 찍어보지 않고 눈으로만 검사를 했다면 충치를 발견하지 못했을 수 도 있습니다.

    답변이 도움이 도길 바랍니다. 감사합니다.