아하
  • 토픽

  • 스파링

  • 잉크

  • 미션


의료상담

정겨운베짱이241

정겨운베짱이241

크라운 치아 뿌리 염증 질문드립니다.

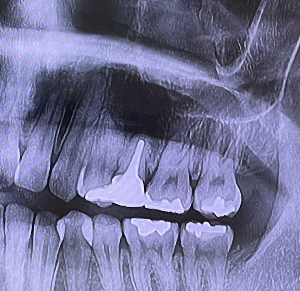
옛날에 치아에 포스트를 세우고 크라운을 씌운 치아가 크라운 씌운지 오래돼서 교체를 하였습니다 지르코니아로 포스트 기둥은 그대로 두고 크라운만 교체를 하였는데 크라운 교체할 때 망치 같은 걸로 뽑고 교체 르루 했는데 그 이후부터 잇몸이랑 주변 부위에 통증이 너무 심합니다 그래서 치과를 방문하니 치아 뿌리 쪽에 염증이 생겼다고 했는데 교체하기가 충격으로 인해 생긴 건가요? 그래서 어떻게 해야 하나 여쭤보니 여기서 손을 더 대면 임플란트를 할 수 있으니 그대로 두 자고 하시더라고요 근데 제가 치아 뿌리 염증에 대해서 찾아보니 치근 단 절제술도 있고 잇몸을 열어서 염증을 긁어내는 치료방법도 있던데 왜 안 해주시고 그냥 쓰라고 하시는 건지 궁급합니다 그리고 무조건 임플란트밖에 방법이 없다고 하셔서 정말 그런 건가요 그대로 두고 더 써보자고 하시는데 점점 염증도 커지고 나중에는 더 심해져서 위에 치근단 치료 같은 것도 못 받는 게 아닌지 궁급합니다 통증도 점점 심해지고 주변 치아까지 망가지는 게 아닌지 걱정됩니다 어떤 치료를 받아야 할까요 사진 첨부합니다

  • 1번 째 사진
  • 2번 째 사진
  • 3번 째 사진

2개의 답변이 있어요!

  • 안상우 치과의사

    안상우 치과의사

    목동안치과의원

    포스트 치료가 돼 있는 경우에는 근관 치료가 어려운 경우가 많습니다. 재신경 치료가 가능하다면 재신경 치료를 받는 것이 좋으며 제 신경 치료를 받기 힘들거나 치아뿌리에 금이 갔을 경우에는 발치를 해야 할 경우도 생기게 됩니다. 자세한 확인을 위해 치과에서 진료를 받아보는 것을 권유드립니다

  • 안녕하세요 치과의사 김철진입니다. 교체할때 충격으로 치아에 염증이 생기거나 그렇진 않습니다. 기존에 치료를 한부위에 염즈잉 처음부터 잇엇다면 크라운 교체 전에 미리 고지를 햇어야되지 않을까 싶습니다. 파노라마 사진보다는 작은 엑스레이 사진을 한번더 찍어보셔야될것같습니다 .