홈
토픽
스파링
잉크
미션
전문가 신청
베리몰
나도 질문하기
의료상담
의연한지빠귀27
성별
여성
나이대
30
기저질환
X
복용중인 약
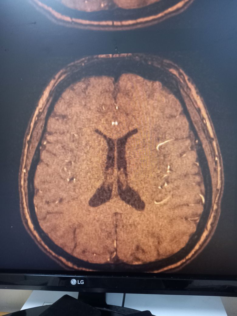
건강검진 mra 사진인데 아직 결과 안나왓고 씨디만 받아온건데 집에서 보다보니 궁금해서요 저 하얗개 지저분한거 원래도 찍으면 나오나요?? 아님 저거 뭐애요?
사진 보기
2개의 답변이 있어요!
탈퇴한 사용자
안녕하세요. 이욱현 의사입니다. 혈관이 찍여서 보인 것으로 보입니다.
이렇게 정상적으로 혈관들이 보입니다. 혈관이 뇌 사이사이를 지나기 때문에 혈관 일부가 보이는 소견으로 보입니다.
평가
응원하기
서민석 의사
가톨릭대학교 인천성모병원 가정의학과
∙
안녕하세요. 서민석 의사입니다.
혈관 조영제를 사용한 결과입니다. 하얗게 보이는 것은 혈관이 보이는 거에요. 정상인 것이지요.
1