의료상담

치과를 방문했는데 치아 뿌리가 부러졌다고 합니다.

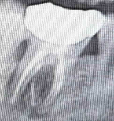
엑스레이 사진입니다.

해당 치아는 신경치료하고 크라운 한지 15년?20년? 넘었습니다.

해당 부분 통증이 심하여 치과 방문했습니다.

병원에서는 엑스레이만 찍었고, 엑스레이 사진을 보시곤 치아 아래 흰색 줄(?) 부분이 뿌리가 부러진 것이니 발치를 해야한다고 했습니다.

그런데 집에 와서 좀 찾아보니 신경치료기구가 파절된 것이거나, 신경관 충전재 등이 빠져나온 것일 확률도 높다고 하더라구요.

1. 치아 뿌리 사이에 있는 흰색 줄 같이 생긴 부분이 뿌리가 부러진건가요?

2. (저 부분이 뿌리이든 아니든) 해당 엑스레이 사진만 보고 뿌리가 부러졌으며, 해당 치아는 무조건 발치해야한다고 판단이 가능한가요?

3. 어쨌든 해당 치아 아래에 염증이 있고, 뼈가 녹아있는 부분은 확인했습니다. 만약에 발치를 한다면 뼈이식이 무조건 필수인가요? 자연적으로 뼈가 다시 생성되길 기다릴 순 없는건가요?

  • 1번 째 사진

1개의 답변이 있어요!

  • 안녕하세요. 최석민 치과의사입니다.

    기구파절의 양상으로 보이긴하는데 그게 신경치료 실패의 원인은 아닐겁니다 어쨌든 염증이 생긴 상태이기 때문에 처치를 해주어야 더 잇몸뼈가 안 녹습니다 재신경치료, 치근단절제술 시도해볼 수 있고 안되면 빼야합니다

    염증의 원인이 되는 치아를 빼면 일단 뼈가 더 녹진 않는데 거기 뼈가 차오를지는 체내 치유 능력에 따라 다릅니다 그걸 도와주는게 뼈이식이고요 쉽게 비유하자면 뼈 부러진 거 그냥 둬도 기동만 안하면 언젠간 붙습니다 근데 사람이 움직이면서 그쪽으로 계속 힘 들어가고 기동을 하니 뼈가 안붙을 거고 그거때문에 깁스 하는겁니다

    채택 보상으로 302베리 받았어요.

    채택된 답변