아하
  • 토픽

  • 스파링

  • 잉크

  • 미션


의료상담

지나치게슬림한하마

지나치게슬림한하마

25.10.07

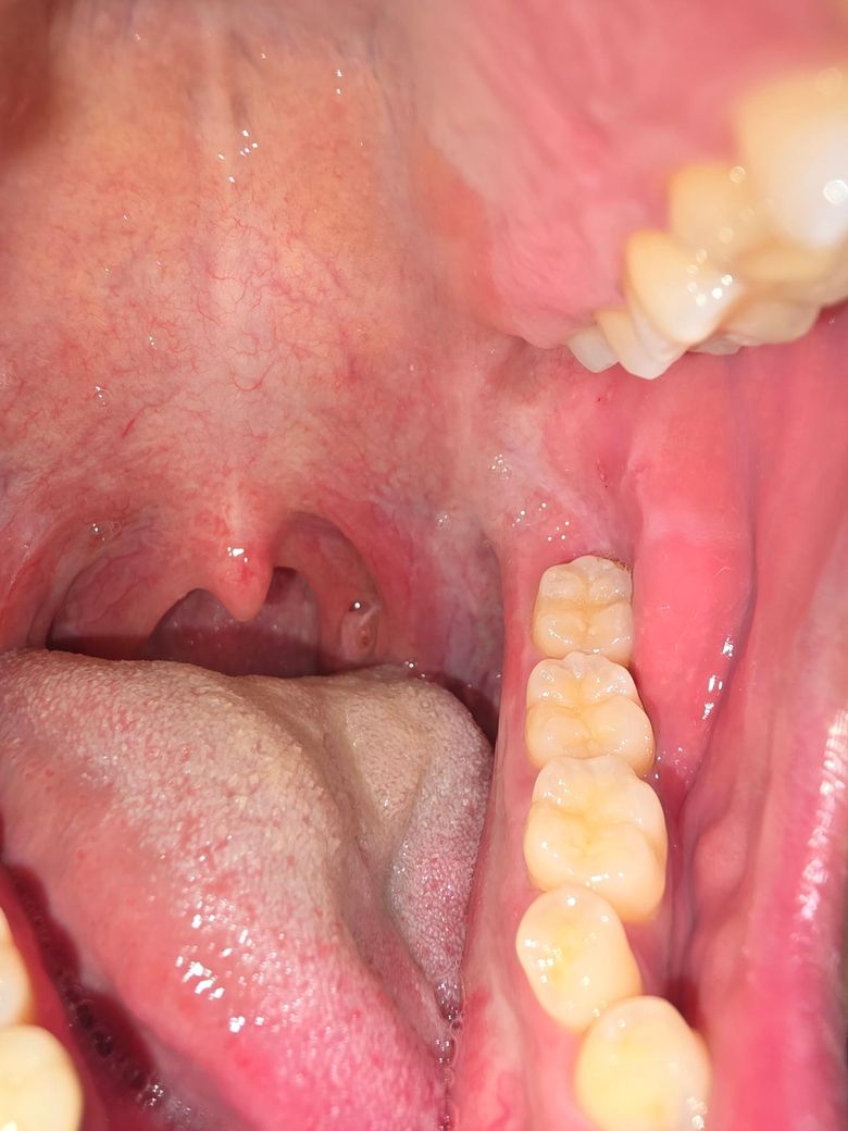
왼쪽 편도에 작은 빨간 점이 생겼습니다.

성별

남성

나이대

20대

최근에 편도결석같은 이물질도 나오고 좀 아파서 봤더니 작은 붉은점에 가운데가 하얗습니다. 편도염인가요 궁금합니다. 따로 열나거나 하지는않지만 가렵기도하고 그럽니다.

  • 1번 째 사진
  • 2번 째 사진

1개의 답변이 있어요!

  • 최성훈 내과 전문의

    최성훈 내과 전문의

    고려병원

    25.10.07

    안녕하세요. 최성훈 내과 전문의입니다.

    올려주신 사진만으로는 다소 제한적이나 편도염을 추정할 수 있는 편도 비대나 염증 소견은 뚜렷하지 않으므로 음주, 흡연, 카페인, 자극적 음식을 피하고 경과를 지켜보기 바랍니다.