아핫뉴스실시간 인기검색어
아핫뉴스 화산 이미지
화산 아이콘 11
지상렬 신보람 결혼 계획
아하

의료상담

기타 의료상담

강렬한극락조77
강렬한극락조77

흉부ct 찍은 거 cd로 받아왔는데 측면이 없네요

성별
남성
나이대
20
기저질환
X
복용중인 약
X

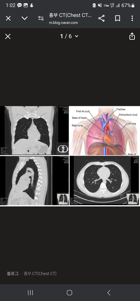
사진과 같이 옆모습도 볼 수 있는 걸로 아는데

전 측면은 안찍고 정면만 스캔된 건가오?

제 cd영상에는 측면이 안보여요 ㅠ 아님 다 편집하면서 측면을 보는 건가오?

  • 1번 째 사진
4개의 답변이 있어요!
  • 안녕하세요.

    ct 촬영은 사진 속 4번째에 해당하는 axial 사진이 기본적인 촬영 방법입니다.

    이 영상을 토대로 1번, 3번 사진을 재구성하여 볼 수 있게 합니다.

    질문자 cd 영상에 3번 사진이 없는 것은,

    해당 병원이 본래 재구성을 하지 않고 보는 병원일 가능성이 있고,

    영상을 cd에 복사하는 과정에서 3번 영상이 빠졌을 가능성도 있겠습니다.

    답변이 되었길 바랍니다.

  • 일반적으로 흉부 CT 검사를 시행할 경우 사진으로 올리신 것처럼 아래쪽에서 본 모습, 앞에서본 모습, 옆에서 모습 세 가지가 확인이 가능합니다. 다만 촬영 중 세팅을 어떻게 하였는지에 따라서 측면부는 안 나오는 것도 그럴 수 있긴 하겠습니다. 보통은 측면부까지 나오도록 하는 것이 일반적인데, 촬영한 병원측에 한 번 문의해보시는 것이 좋겠습니다.

  • 안녕하세요. 채홍석 가정의학과 전문의입니다.

    업로드해주신 증상의 설명과 자료는 잘 보았습니다

    사진과 같이 옆모습도 볼 수 있는 걸로 아는데 전 측면은 안찍고 정면만 스캔된 건가오? 제 cd영상에는 측면이 안보여요 ㅠ 아님 다 편집하면서 측면을 보는 건가오? 이 점이 궁금하셨군요

    CT 판독은 원래 axial plane 으로 합니다. 이게 자세하게 관찰하는 plane입니다 (4번사진)

    그리고 편의성을 위해서 coronal plane을 봅니다 (1번 사진) 아무래도 직관적이니까요

    sagittal plane의 경우 (3번 사진) 찍을 수야 있겠지만 저는 본적이 없는 것 같습니다.

  • 안녕하세요. 김수비 의사입니다.

    흉부 CT를 찍을 때, 일반적으로 정면(앞면)과 측면(옆면) 두 가지 시각에서 촬영할 수 있습니다. 하지만 때로는 촬영 방식에 따라 정면만 찍을 수도 있습니다. CT 스캔은 다양한 각도에서 이미지를 생성할 수 있는데, 만약 측면 이미지가 없다면, 정면에서 촬영된 이미지만 포함된 경우일 수 있어요. 일반적으로 CT 영상은 후처리 과정에서 다양한 각도로 볼 수 있는 방법을 제공하기 때문에, 측면 이미지를 확인하고 싶다면 후처리에서 해당 각도를 확인할 수 있는지 병원에 문의해 보세요.