의료상담

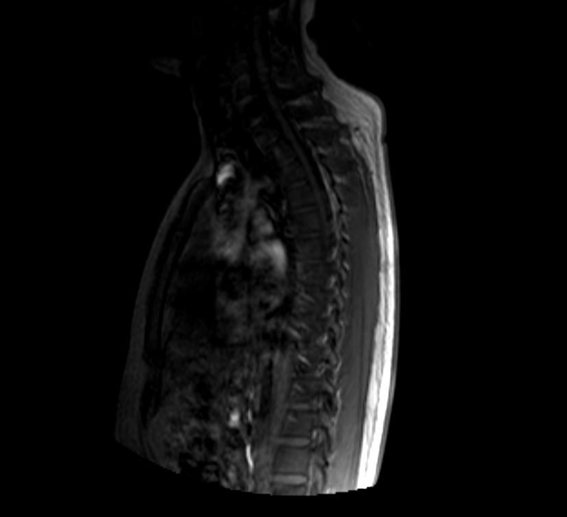
척추 mri 찍었는데 상체 부분쪽 중간에 하얀색 음영 추가사진 올려볼게요..

성별

남성

나이대

30대

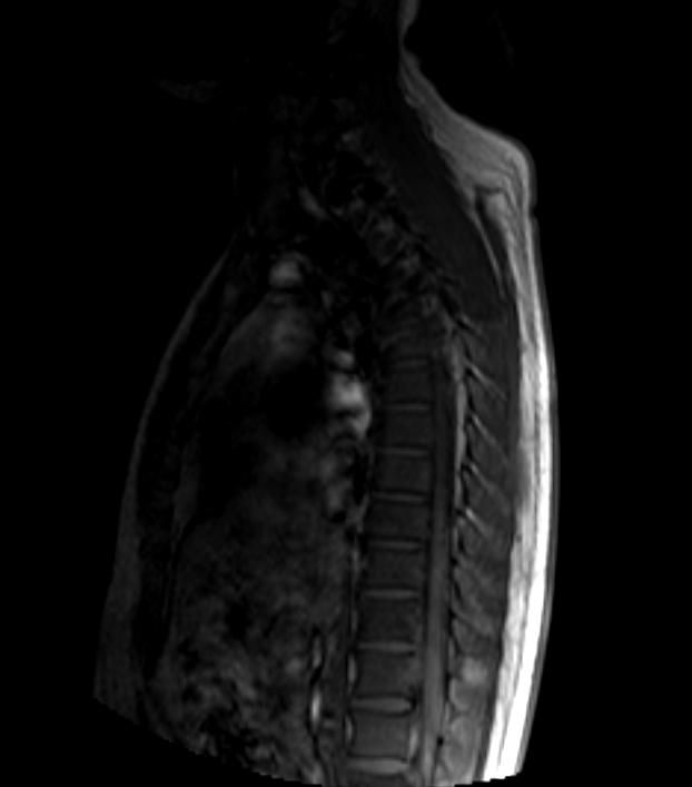
영상 CD 찾아보니 추가 영상사진들이 많더라구요//

상체 부위만 하얗게 보이던데

이 질문을 끝으로.. 암걱정은 안하려고합니다

죄송합ㄴ디 ㅠ

  • 1번 째 사진
  • 2번 째 사진
  • 3번 째 사진
  • 4번 째 사진

5개의 답변이 있어요!

  • 안녕하세요. 송진희 물리치료사입니다.

    영상에서 일부가 하얗게 보이는 건 촬영 방식(조영제, 밝기.대비 설정)에 따라 정상 구조도

    그렇게 보일 수 있어 암을 의미하진 않습니다.

    특히 X-ray/CT는 뼈.밀도가 높은 조직이 하얗게 보이는 게 기본이라 단순 색만으로 판단 하기 어렵습니다.

    판독은 반드시 영상의학과 소견과 담당의 설명의 기준으로 확인 하는 게 가장 정확합니다.

    걱정이 계속되면 결과지 들고 재상담 한번만 더 받아보시고, 이상 없다고 하면 너무 불안해하지 않으셔도 됩니다.

    답변이 도움 되셨길 바랍니다!! 감사합니다~

  • 우선 이 영상은 T2 강조 시상면(sagittal) MRI 영상으로 보이며, 전체 척추를 한 번에 촬영한 전척추(whole spine) 스크리닝 영상으로 판단됩니다.

    말씀하신 "상체 부분 중간의 하얀 음영"은 흉추(thoracic spine) 부위에서 보이는 T2 고신호(high signal intensity) 병변으로 보입니다. T2 영상에서 밝게 보인다는 것은 해당 부위에 수분 함량이 높은 조직이 있다는 의미인데, 이것이 곧 악성 병변을 의미하지는 않습니다.

    가능한 감별 진단을 말씀드리면, 우선 가장 흔한 원인은 추간판(intervertebral disc) 내의 수분 변화 혹은 Schmorl's node처럼 양성 구조적 변화입니다. 그 외에 혈관종(vertebral hemangioma)은 척추에서 매우 흔하게 발견되는 양성 종양으로, T2에서 밝게 보이는 전형적인 소견을 보입니다. 척추 혈관종은 성인의 10퍼센트 이상에서 우연히 발견될 만큼 흔하며 대부분 치료가 필요 없습니다.

    물론 영상 한 장만으로 확정적인 판독은 어렵고, 전체 시퀀스(T1, T2, 조영증강 여부 등)와 임상 증상을 함께 고려해야 정확한 판단이 가능합니다.

  • 안녕하세요. 신미소 물리치료사입니다.

    MRI T1 또는 T2 강조 영상에서 지방은 밝고 하얗게 나타납니다. 피부 바로 아래에 있는 두툼한 지방층이 찍힌 것이며 이는 모든 사람에게 있는 정상조직입니다. 목 뒤쪽과 등 윗부분의 지방층이 다른곳보다 조금 더 두껍게 보일수 있으니 이는 암과 같은 악성병변과는 모양과 위취가 완전히 달라서 걱정하지 않으셔도 됩니다. 하얀부분은 우리몸을 보호하는 지방층일 뿐이니 이제 암에 대한 불안감은 내려놓으시고 안심하셔도 됩니다!

  • 안녕하세요. 김현태 물리치료사입니다.

    보통 MRI에서 보이는 하얀색 음영은 액체나 혈관, 연부조직과 같은 구조물의 가능성이 높습니다.

    별다른 이상소견이 없었다면 건강에 치명적인 문제가 발견되었다 보기는 어려울 수 있지만, 우려가 된다면 관련 전문의 진료를 받는 것을 추천드립니다.

  • 안녕하세요.

    척추 MRI 영상에서 보이는 하얀색 음영은 촬영 기법이나 조직의 구성 성분에 따라 그 의미가 아주 다양하게 나타납니다. 일반적으로는 척추뼈 내부에 흔히 생기는 양성 혈관종이나 단순한 지방 침착인 경우가 많으며, 이런 소견들은 대부분 특별한 치료 없이도 경과만 관찰해도 괜찮은 경우가 대다수예요. 하지만 하얀 부분의 정확한 위치가 척수 신경 내부인지 혹은 뼈의 바깥쪽인지에 따라 신경 압박이나 염증 여부를 판단해야 하므로 판독 결과를 세밀하게 살펴볼 필요가 있습니다.

    가장 중요한 것은 현재 느끼시는 통증이나 저림 같은 신체 증상과 영상 결과가 얼마나 일치하는지를 확인하는 일입니다. 영상에서 하얗게 보인다고 해서 무조건 심각한 질환을 의미하는 것은 아니니, 우선은 병원에서 작성된 정식 판독지를 바탕으로 주치의 선생님과 자세한 상담을 나누어 보시는 것이 가장 정확해요. 추가로 올려주신 사진과 함께 전문의의 소견을 직접 들어보시면 막연한 불안감을 해소하고 적절한 관리 방법을 찾으시는 데 큰 도움이 될 것입니다.

    감사합니다.