아핫뉴스실시간 인기검색어
아핫뉴스 화산 이미지
아하

의료상담

치과

의로운비둘기186
의로운비둘기186

왜소치 어떻게 해야 할까요..?

안녕하세요 !

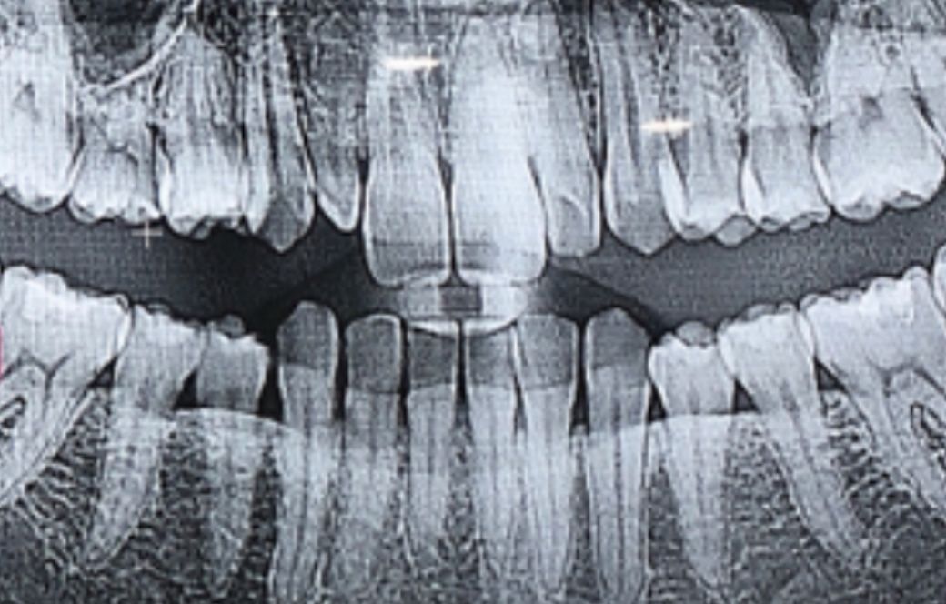
어렸을때 이빨을 뽑았는데 그 이후로 앞니 옆에 이빨 하나가 조금만 자라고 그 이후로 자라질 않아요..ㅠㅠ

레진 , 크라운, 라미 중에서 어떤걸로 해야 가능할까요?

아니면 또 다르게 씌우는 방법이 있나요??

라미로 하게되면 치아 삭제 없이 그 위에 모양만 씌울 수 있을까요?

이 정도 크기의 왜소치는 어떻게 씌우는게 좋을까요?

  • 1번 째 사진
  • 2번 째 사진
55글자 더 채워주세요.
4개의 답변이 있어요!
  • 안녕하세요. 송우식 치과의사입니다.

    현재 치아가 작아서 미관상 보기가 좋지 않은 경우 레진을 이용하여 치아모양을 보완할수 있으며 라미네이트는 치아삭제가 필요로 되기에 치과에 방문하여 보다 정확한 상태를 확인후 치료방향을 결정하길 바랍니다.

  • 안녕하세요. 정진석 치과의사입니다.

    현재와 같은 경우에는 크라운 등을 시행하게 되면 공간이 부족할 수 있어 보입니다. 또한 해당 치아만 수복하게 될 경우에 주변 치아와 정확히 색을 맞추기 힘들어 권하지 않으며 라미네이트 등을 하는 것이 맞아 보입니다. 보통 왜소치가 있거나 전치부 심미 문제가 있을 때 라미네이트가 대안이 될 수 있습니다.

    아무쪼록 저의 답변이 문제 해결에 작게 나마 도움이 될 수 있기를 기원드립니다. 항상 건강하고, 행복하세요^^

    정진석 치과의사 드림

  • 안녕하세요. 박종열 치과의사입니다.

    여러가지 방법이 있을 수 있겠으나

    라미네이트를 할 수도 있고 크라운 치료를 할 수도 있습니다.

    감사합니다.

  • 안녕하세요. 이정현 치과의사입니다.

    사진으로 봤을때 치아가 굉장히 작습니다

    레진이나 라미네이트로는 쉽지 않을듯 하고, 크라운을 씌우는게 가장 좋을것으로 보입니다.

    정확한것은 치과에서 상담을 받아보시기 바랍니다. 감사합니다.

PC용 아하 앱 설치 권유 팝업 이미지장도연이 추천하는 아하! 앱으로 편리하게 사용해 보세요.
starbucks
앱 설치하고 미션 완료하면 커피 기프티콘을 드려요!