의료상담

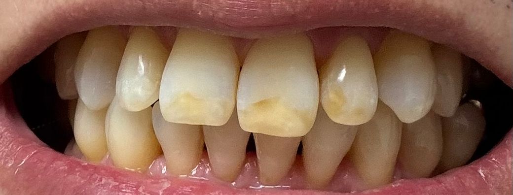
윗니에 하얗고 노란착색이 있는데 치아 불소증일까요?

안녕하세요, 30대 중반 유저입니다.

이 상태가 초등학생때부터 그랬던 것 같은데 최근 결혼 준비하다보니 신경쓰여 질문드립니다.

윗니에 하얗고 노란 무늬가(앞니 두개 ~ 송곳니) 그냥 착색 같은 것인줄 알았는데 최근에 알고보니 불소중독하고 비슷한 증상 같더라구요 생각해보니 초등 저학년때 학교에서 한달에 한번인지 불소가글 시켰던 기억이 있습니다

치아불소증이면 보통 치료는 어떻게 이루어질까요?

최대한 삭제하지 않고 하고싶긴한데 지금 상태가 어느정도인지 모르겠습니다.

  • 1번 째 사진

1개의 답변이 있어요!

  • 안녕하세요. 최석민 치과의사입니다.

    네 사진상 상태로는 반상치의 가능성이 있어보이네요 치아 삭제 없이 변색치아를 치료하는 아이콘레진 기술이 있으니 한번 그런 치료를 하는 치과를 찾아보세요

    채택 보상으로 236베리 받았어요.

    채택된 답변