아핫뉴스실시간 인기검색어
아핫뉴스 화산 이미지
화산 아이콘 11
원로배우 남정희 별세 84세
많이 본
아하

의료상담

치과

말끔한담비231
말끔한담비231

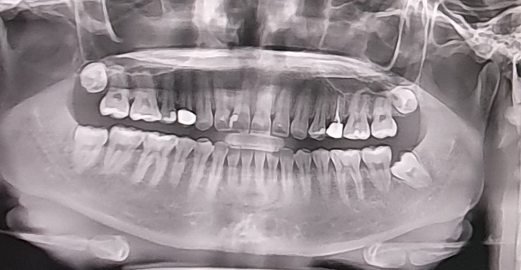
사랑니 발치 어려운 경우인가요?

안녕하세요! 자꾸 글올려서 죄송합니다 낼 상악 사랑니 뽑으러가는데 벌써부터 무섭네요. 왼쪽하악은 신경이랑가깝다고햇는데도 10분도안걸렸거든요.. 제 사랑니 4개가 모두 까다로운 케이스인가요? 특히 상악이 어떤지 궁금합니가!



  • 1번 째 사진
3개의 답변이 있어요!
  • 안녕하세요. 김지훈 치과의사입니다.

    크게 어려워보이지는 않으나 사랑니는 변수가 많아 발치를 해봐야 난이도를 알 수 있기도 합니다

  • 안녕하세요. 김철진 치과의사입니다.

    사랑니가 크게 어려운 케이스는 아닌거 같습니다. 그나마 까다로운게 왼쪽아래사랑니 같은데 그거 빼셧다면 다른곳은 크게 걱정하지 않으셔도 될것같습니다.

  • 탈퇴한 사용자
    탈퇴한 사용자

    안녕하세요. 김주혁 치과의사입니다.


    상악 사랑니의 경우 하악에 비해 뼈가 무르고 발치 공간이 넓어 하악에 비해 발치가 간단하며


    사진 상 크게 난이도가 있는 상태는 아니므로 걱정 안하셔도 괜찮습니다