아하
  • 토픽

  • 스파링

  • 잉크

  • 미션


의료상담

일단까다로운진달래

일단까다로운진달래

25.02.01

후두hpv 인가요? 이빈후과에서 인후염 이라는데 3개월정도 지속 됩니다 hpv 인가요?

성별

남성

나이대

27

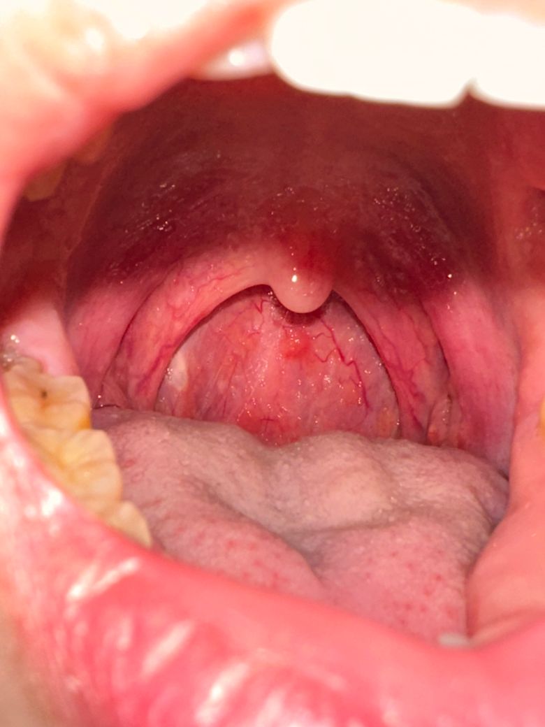
후두에 hpv 생기나요? 인후쯤에 흰염증 하나랑 빨강염증 여러게 있습니다 또 이빈후과에서 인후염 이라는데 이상해서 올립니다 입안 목에 흰염증 빨강염증 양 옆에 염 증들 이 3개월 지속 입니다 목 따가움 가끔 있고 말 많이하 면 허스키한 목소리 나옵니다 자세한 답변 해주시면 감사합니다

  • 1번 째 사진
  • 2번 째 사진
  • 3번 째 사진

1개의 답변이 있어요!

  • 김수비 의사

    김수비 의사

    QUB

    25.02.01

    안녕하세요. 김수비 의사입니다.

    이비인후과에서 인후염이란 진단을 받으시고 치료를 받았는데도 증상이 나아지지 않았다면 다시 진료를 봐보시는 방법 밖에 없습니다. 육안상으로는 HPV 병변이 눈에 띄게 보이지는 않습니다만 사진만으로는 진단 불가능합니다. 감사합니다.