아하
  • 토픽

  • 스파링

  • 잉크

  • 미션


의료상담

내내차분한시베리안허스키

내내차분한시베리안허스키

25.03.23

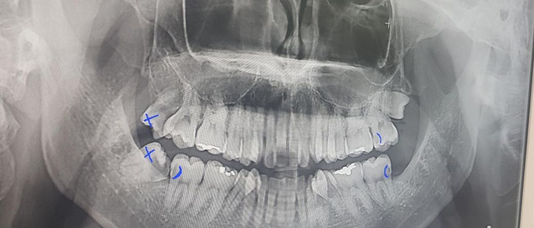
사랑니 때문에 인접면 충치가 생겼는데 신경치료 가능성이 클까요?

47번 어금니 인접면에 충치 때문에

신경치료 해야 할까요?

그리고 레진5개 인레이4개 정도가 나왔는데

과잉성은 없을까요?....

  • 1번 째 사진

5개의 답변이 있어요!

  • 김철진 치과의사

    김철진 치과의사

    가까운우리치과

    25.03.24

    안녕하세요. 김철진 치과의사입니다.

    엑스레이 상으로 치아 사이가 많이 썩어 잇는거 같습니다. 사랑니 때문에 치료를 하는 치아들은 신경치료 가능성이 높아 보이긴합니다.

  • 안녕하세요. 안상우 치과의사입니다.

    사진으로 봤을 경우에 충치의 범위가 넓어 보입니다. 충치를 제거했을 때 시린 증상이나 통증이 심하다면 신경 치료가 필요할 수 있습니다. 하지만 그렇지 않다면 신경 치료가 필요하지 않은 경우도 있습니다.

    정확한 확인은 충치를 제거해봐야 알 수 있을 것으로 생각됩니다.

  • 안녕하세요. 최석민 치과의사입니다.

    1. 네 47번 인접면 충치는 깊어서 신경과 가깝고 신경치료 가능성도 있습니다.

    2. 어금니쪽 전반적으로 충치는 있어보이네요. 진단이나 치료계획은 치과의사마다 조금씩 다를 수 있습니다.

  • 안녕하세요. 김지훈 치과의사입니다.

    과잉진료로 보이지는 않으며 해당 치아는 사랑니 발치 후 다시 평가해봐야 겠으나 가능성은 있어보입니다.

  • 안녕하세요. 송우식 치과의사입니다.

    47번 어금니 인접면에 충치가 생긴 경우 현재 신경이 손상되어 신경치료가 필요로 되어 보입니다. 보다 정확한 것은 치과를 방문하여 상태 확인후 치료 방향을 정확하게 결정하길 권장드립니다.

    만족스러운 답변되셨으면 합니다.

    <평가> 감사합니다.