아하
  • 토픽

  • 스파링

  • 잉크

  • 미션


의료상담

그래도빛나는자라

그래도빛나는자라

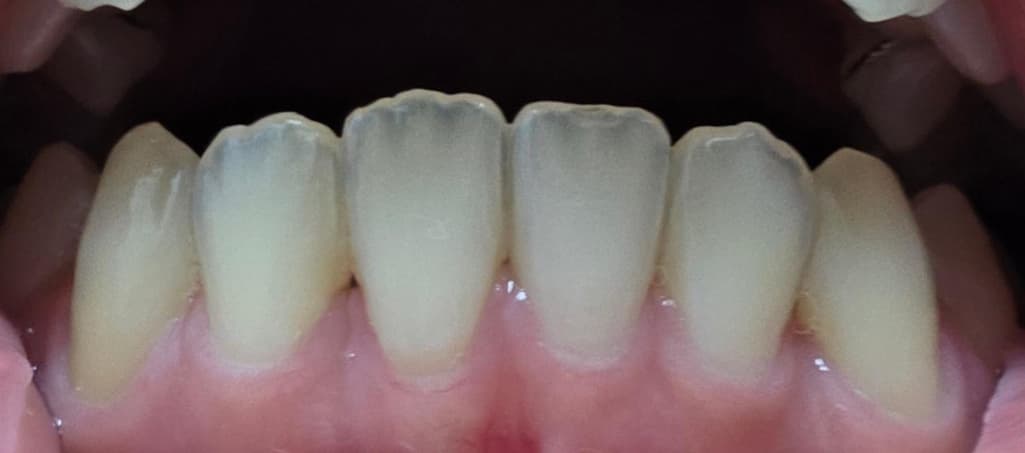
제 잇몸 상태가 많이 내려가있는건지 궁금해요

교정 했었구요 20대 중후반입니다

어느순간부터 아래앞니 뿌리가 보이기 시작하는거 같아서요 심각한 정도인가요? 다시 잇몸 안 올라온다는 건 알지만 심한건지 걱정이 돼서요

증상은 차가운거 앞니쪽에 닿으면 시린데 평소에 그쪽으로 잘 안먹어서 그런가 큰 불편함을 못느끼고 살았어요

  • 1번 째 사진
  • 2번 째 사진

5개의 답변이 있어요!

  • 김지훈 치과의사

    김지훈 치과의사

    메가

    안녕하세요. 김지훈 치과의사입니다.

    잇몸퇴축이 많이 진행된 것은 아니지만 약간 시작된 정도이며 양치 및 관리에 신경 써주셔야합니다.

  • 안녕하세요. 김철진 치과의사입니다.

    사진상으로는 크게 잇몸이 내려간것처럼 보이진 않지만 두번째 사진 에서 아래 앞니는 약간 잇몸이 퇴축된것처럼 보이니 양치는 너무 강하게 하진 마세요.

  • 안녕하세요. 안상우 치과의사입니다.

    나이가 들면 잇몸이 조금씩 내려갈수 있습니다. 사진으로 보이는 정도는 큰 문제가 될 정도는 아니기 때문에 걱정하지 않으셔도 될것으로 생각됩니다.

  • 안녕하세요. 최석민 치과의사입니다.

    잇몸퇴축은 다소 진행된 편이고요

    치아 시린 증상에 대해서는 평상시 시린이 치약 사용, 치과에서 불소도포 해보시기 바랍니다

  • 안녕하세요. 송우식 치과의사입니다.

    이정도면 정상범주에 포함된다고 보면 됩니다. 아래 앞니 1개가 조금 내려가 보이지만 이것도 정상 범주로 보아도 됩니다. 치솔질 할 때 옆으로 힘이 쏠리지 않도록 특히 조심해야 합니다. 앞니 앞면은 치솔질을 위아래 상하로 해야 치아옆면이 마모되는 것을 예방할 수 있습니다.