아하
  • 토픽

  • 스파링

  • 잉크

  • 미션


의료상담

아리따운콜리248

아리따운콜리248

2년전 난소기형종 수술 후 초음파 봐주세요ㅠ

성별

여성

나이대

27

기저질환

난소기형종수술

복용중인 약

없음

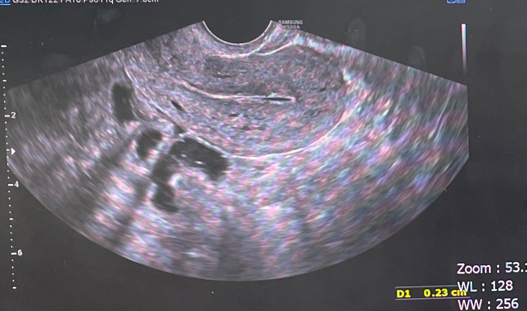
다시 재발한건가요? 자궁 근처에 보이는 검은색 병변이 혹시 종양의 재발인것이 아닌지 초음파를 볼 줄 몰라서요ㅠㅠ 저,고음영이 같이 보이는게 이상한느낌인데

아니라면 저 부분은 뭘까요?



  • 1번 째 사진

1개의 답변이 있어요!

  • 전은영 산부인과 전문의

    전은영 산부인과 전문의

    산부인과

    안녕하세요. 전은영 의사입니다.

    초음파를 직접 본것은 아니지만 일반적으로 보이는 장의 음영입니다. 난소기형종의 가능성은 매우 낮아보이면 산부인과 진료 시 확인하는 것이 정확하겠습니다.