아핫뉴스실시간 인기검색어
아핫뉴스 화산 이미지
화산 아이콘 11
이재명 대통령 이해찬 조문
많이 본
아하

의료상담

이비인후과

보고싶은코요테119
보고싶은코요테119

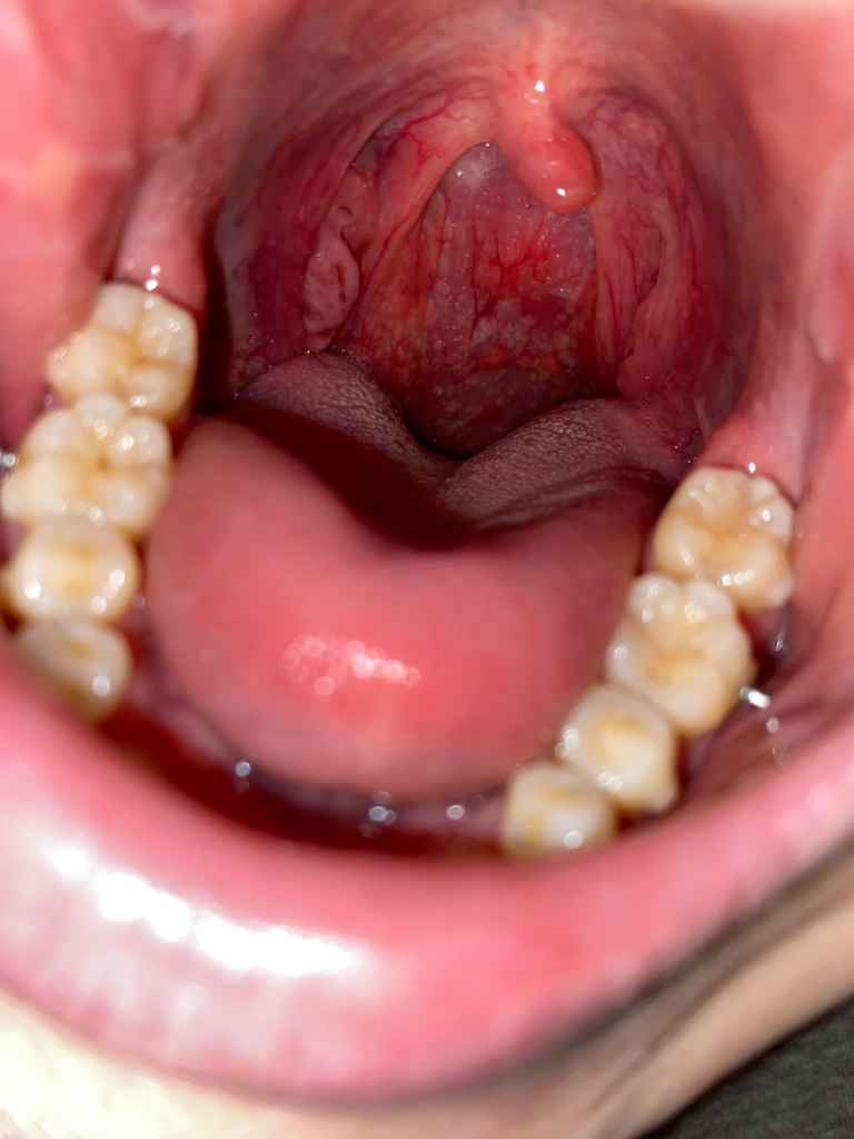
구인두 후벽에 난거 정상일까요?

성별
남성
나이대
29
기저질환
없음
복용중인 약
없음



편도선 옆에 보면 뭔가 하얗게 오돌토돌 올라온거같아 보입니다. 발견한건 2일 전이고, 목이 좀 칼칼한게 있지만, 딱히 별다른 통증은 없습니다.

병원에 가봐야 할까요 아니면 좀 더 지켜봐도 괜찮을까요?

  • 1번 째 사진
  • 2번 째 사진
1개의 답변이 있어요!
  • 안녕하세요. 남희성 의사입니다.

    정사적인 편도가 원래 저렇게 보입니다.

    이상소견이 없으니 걱정 안하셔도 되겠습니다.

    목이 건조한건 환절기 건조함때문일 수 있으니 따뜻한 물을 많이 먹어서 습도를 올려주시는게 도움이 되겠습니다.