치아 뿌리부분의 파절을 엑스레이로 구분할수 없나요?
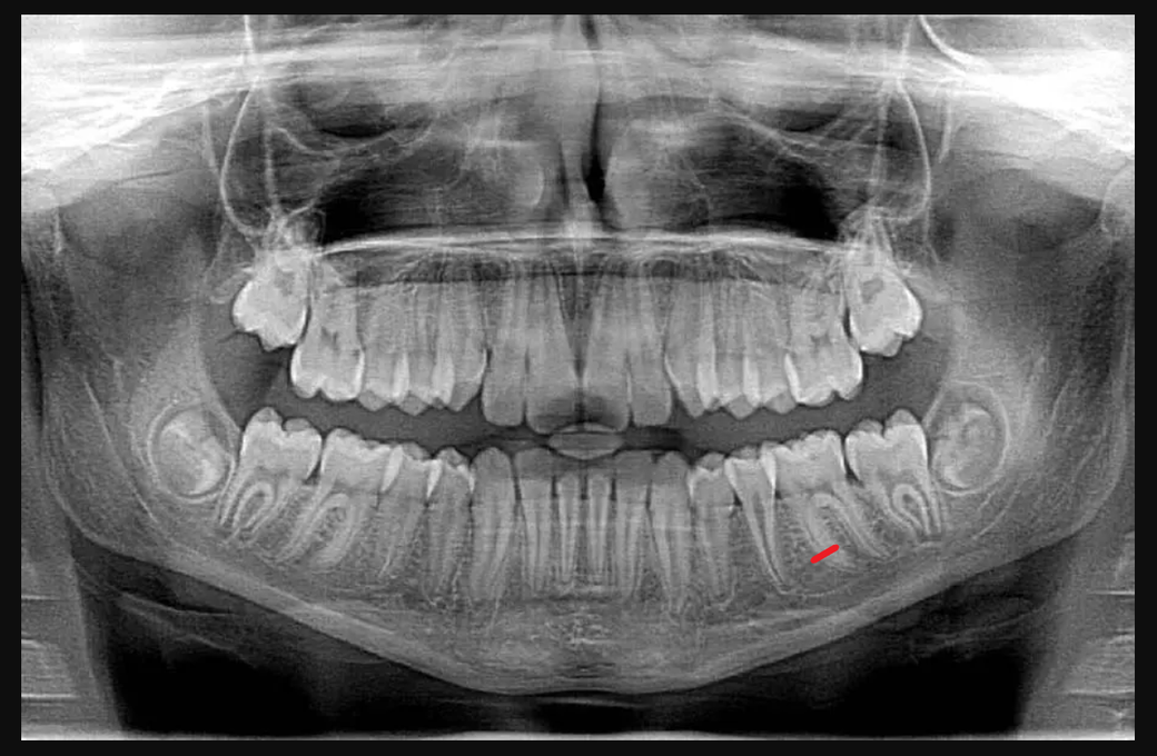
(위의 사진은 제 치아사진은 아니고 예시를 들기 위한 사진입니다.)
2년전 빨간색으로 표시한 어금니 부분에 치아파절이 생겨서 크라운 치료를 받았습니다.
첫 검사때 '치아 윗부분에 금이 깊게가서 크라운 치료를 할때 치아를 많이 삭제해야할것 같다'는 설명을 들었고
그것에 더해 (사진에 표시한) '치아 뿌리부분에 금이 갔는지 아닌지 확실하지 않는데 다음주에 신경치료를 시작하기전, 사진을 한번 더 찍어보고 치료를 결정해보겠다.' 하여 다음주에 다시 방문하여 사진을 찍었습니다.
첫번째로 찍었던 사진에서는 희미했던 것이 두번째로 찍었던 사진에서는 위에 표시한 뿌리부분이 살짝 벌어진게 보였고 이부분을 설명하면서 '여기서 크라운 치료를 계속할지, 중단할지 본인이 선택하라'고 분명히 말했습니다.
당시에 저는 이 부분에 대해서 크게 생각을 안해서 일단 크라운 치료를 받은 상태입니다.
그런데 2년후인 지금 치아검사를 받는 부분에서 뿌리부분의 파절을 물어보니 '그런건 엑스레이로 판단할 수 없고, 나는 치아 윗부분의 파절이 심하니 예후를 잘 지켜보자는 말만 했을뿐이다.' 라고 하며 저를 이상한 사람으로 몰아가니 제가 이상한건지 의사가 거짓말을 하고있는건지 궁금해졌습니다.
검색을 좀더 해보니 뿌리부분의 파절은 크라운을 씌우면 안되고 임플란트를 해야한다고 하더군요
그래서 제가 궁금한것은 이것입니다.
1. 정말로 엑스레이로 뿌리부분의 파절을 알수가 없는건가요?
2. 제가 다른병원에 가서 어떤식으로 검사를 받아야 표시한 부분이 파절이 아닌지 알수있나요?
3. 만약 의사가 거짓말을 한 경우 제가 어떻게 증명 할 수 있나요?
안녕하세요. 안상우 치과의사입니다.
나이가 어려서 치근단이 완전히 형성이 되지 않는다면 치근단 부위가 벌어져 보일수는 있습니다.
사진상으로만 판단하기 보다 통증의 유무가 중요해 보입니다.
치아 뿌리에 파절이 있다면 신경치료를 해도 통증이 완화되지 않을수 있기 때문에 발치를 하는경우도 있어요.
CT를 촬영해 본다면 해당부위를 좀더 자세히 검사할수 있을것으로 생각됩니다.
안녕하세요. 김철진 치과의사입니다.
1. 정말로 엑스레이로 뿌리부분의 파절을 알수가 없는건가요?
-엑스레이에 보일정도의 파절이라면 발치를 하셔야될정도입니다. 정 궁금하면 CT를 찍어보셔야됩니다.
2. 제가 다른병원에 가서 어떤식으로 검사를 받아야 표시한 부분이 파절이 아닌지 알수있나요?
-치근의 파절은 엑스레이 상에도 나타나기도 하고 신경관이 다른 치아에 비해서 굉장히 넓게 보이는경우도 있습니다.
3. 만약 의사가 거짓말을 한 경우 제가 어떻게 증명 할 수 있나요?
-무조건 파절이라고 하진 않겟죠. 파절가능성을 말하신거 같습니다.
안녕하세요. 김지훈 치과의사입니다.
엑스레이로 알 수 있을때도 있고 없을 때도 있습니다. 마찬가지로 다른 병원에서 엑스레이 찍어보시면 됩니다.

