의료상담
사랑니 발치 난이도 좀 봐주세요 슨생님들
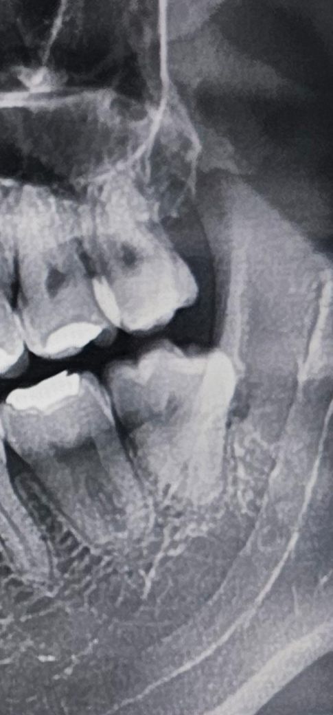
1. 전체적인 발치 난이도 좀 알려주세요
2. 붐비지 않는 구강악전문의병원, 환자가 많지만 구강악전문의는 아닌 병원, 중대형 프렌차이즈?형 치과, 일반적인 동네치과의원. 지방이라서 선택지가 많지는 않습니다..
유료광고들을 많이 해서 가짜 후기도 많고
알아보니 치과는 많이 시술해본 사람이 잘한다는 말도 있던데 어디로 가는게 좋을까요..?
3. 상악 사랑니랑 옆 어금니 치조골이 없어보이는데
사랑니 발치해도 어금니에 영향이 없나요?
55글자 더 채워주세요.
4개의 답변이 있어요!
안녕하세요. 오유진 치과의사입니다.
난이도가 높은 사랑니 발치는 아니지만 구강악안면외과 전문의가 원장인 병원을 가시면 그만큼 더 수월하게 발치는 가능하실거 같습니다. 발치후 3달 정도가 지나면 인접치의 치조골도 어느정도 차오르니 너무 걱정안하셔도 될거 같습니다.
안녕하세요. 김철진 치과의사입니다.
사진상으로 보면 사랑니 뿌리도 모여 잇는 형태로 입만 잘벌릴수 잇다면 난이도가 높아 보이진 않아 보입니다.
안녕하세요. 안상우 치과의사입니다.
사랑니가 똑바로 나와 있고 뿌리가 모아져 있기 때문에 발치를 하는데 크게 어려움은 없을것으로 생각됩니다.
자세한 확인을 위해서 치과에서 진료를 받아보는 것을 권유드립니다.
안녕하세요. 최석민 치과의사입니다.
그렇게 어렵진 않을 것 같습니다. 뿌리도 잘 모여있고, 맹출 정도도 나쁘지 않고요.
이정도면 일반 동네 치과 아무데나 가셔도 됩니다.
네

