아하
  • 토픽

  • 스파링

  • 잉크

  • 미션


의료상담

매우세련된삼겹살

매우세련된삼겹살

(X-ray 판독) 무릎 퇴행상 관절염 양쪽 몇 기일까요?

성별

남성

나이대

67

안녕하세요. 바쁜 시간에도 답변 달아주셔서 감사합니다.

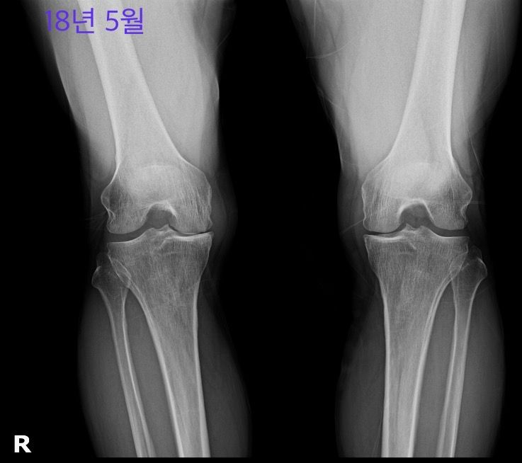
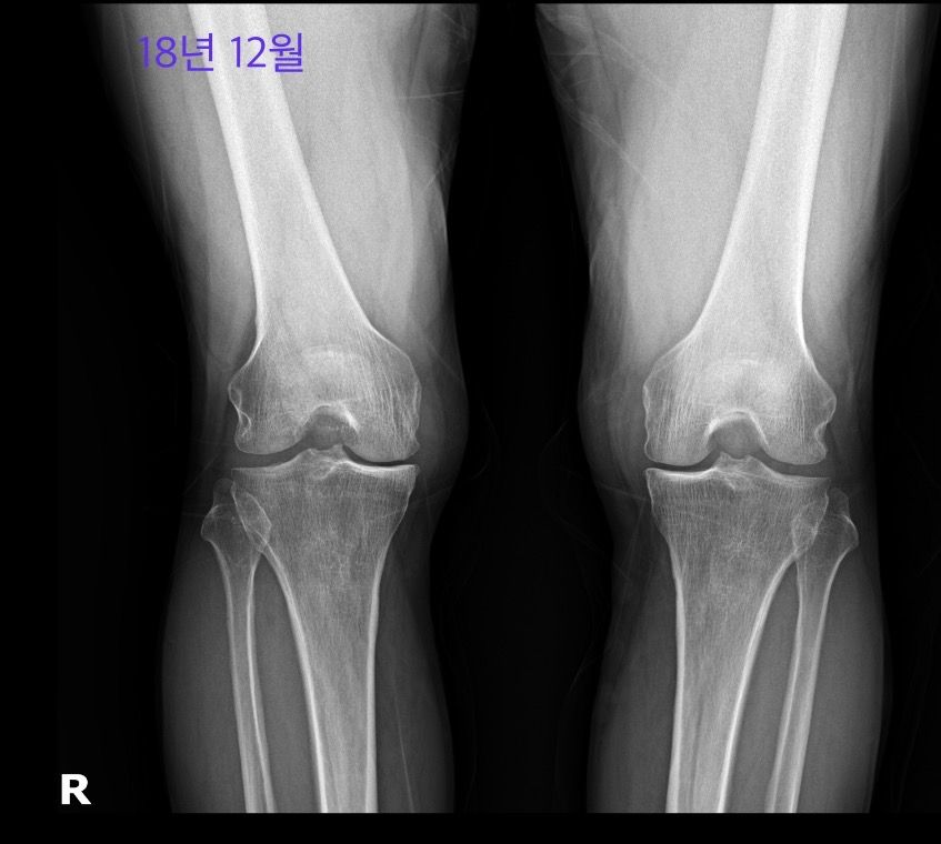
사진은 18년 5월, 18년 12월, 24년 5월입니다.

1. 시간에 따라 악화되었나요?

2. 연도별로 퇴행성 관절염 좌우쪽 각각 몇 기 정도로 보면 될까요?

3. 만 67세입니다.

나이에 상관 없이 고려했을 때에고, 24년 5월 양쪽 무릎 인공관절 수술 소견으로 보여지나요?

  • 1번 째 사진
  • 2번 째 사진
  • 3번 째 사진

2개의 답변이 있어요!

  • 남희성 의사

    남희성 의사

    대학병원 재활의학과

    우측 무릎은 18년 5월부터 이미 진행이 많이 되어있는 상태이고 18년 12월에는 관절간격이 조금 더 넓은것처럼 보이지만 현재 grade 4로 보입니다.

    좌측은 18년 5월에 우측보다는 가볍지만 grade 3이라고 생각되며 현재 grade 3-4 정도로 보입니다.

    인공관절수술은 단순히 병기만 가지고 결정하는게 아니고 증상이 중요합니다.

    통증이 얼마나 심하고, 생활은 어느정도 유지 가능하신지를 고려해야겠습니다.

  • 안녕하세요. 송진영 물리치료사입니다.


    만 67세라면 24년 5월 상태에서 인공관절 수술을 고려할 수 있지만 증상과 기능에 따라 전문의 상담이 필요합니다. 통증이 얼마나 있으신지 혹은 생활은 가능하신지에 따라 달라질 수 있을 것 같아보입니다!